Quando dare la vitamina D
Clinica Pediatrica, IRCCS, Burlo Garofolo, Trieste
E mail: stefaniabassanese@yahoo.it
Un po' di definizioni
Con il termine di rachitismo si intende un difetto di mineralizzazione della cartilagine di accrescimento e dell'osso ancora in formazione, prima della fusione definitiva delle epifisi.
Il difetto di mineralizzazione dell'osso maturo dell'adulto si definisce osteomalacia.
Per osteoporosi, invece, si intende un difetto della composizione dell'osso che riguarda sia la parte organica che quella minerale.
Due protagonisti: il calcio e la vitamina D
Il Calcio
Il deposito principale del calcio presente nel nostro organismo è rappresentato, come intuibile, dal tessuto osseo, dove si raccoglie ben il 99% di tutto il calcio di cui siamo costituiti; la minima frazione non depositata nell'osso ma circolante si distingue in una parte (40%) che viaggia nel sangue legata alle proteine, prima fra tutte l'albumina (ricordiamo che una riduzione dell'albuminemia di 1 g/dl determina una riduzione della calcemia di 1g/dl), ed una parte (60%) non legata a proteine ma presente in forma di ione libero (46%) o legato a formare fosfato e citrato di calcio (14%).
Il calcio si ritrova principalmente in alimenti come latte e latticini. Le assunzioni di calcio giornaliere raccomandate corrispondono a 360 mg/die nei primi 6 mesi di vita, 550 mg/die nel secondo semestre di vita, 800 mg/die tra il primo ed il decimo anno di vita e 1200 mg/die per i ragazzi con più di dieci anni.
La regolazione della quantità di calcio presente nel nostro organismo dipende in primo luogo dalla quota assorbita: l'assorbimento del calcio avviene per la maggior parte a livello del tenue prossimale (duodeno-digiuno), ed è regolato dall'azione della vitamina D, che è responsabile del 50% del calcio che viene assorbito. In effetti, in condizioni normali, l'intestino assorbirebbe solo il 15% del calcio assunto per os, ma tale percentuale raddoppia sotto l'azione della vitamina D; in caso di aumentato fabbisogno, come in pubertà o in gravidanza, l'assorbimento del calcio sale fino all'80% della quota assunta.
Un altro fattore limitante la quantità di calcio presente nell'organismo è data dall'escrezione renale: praticamente tutto il calcio presente nel sangue e non legato a proteine viene filtrato a livello glomerulare e il 99% circa viene riassorbito. Il 70-80% del calcio viene riassorbito a livello del tubulo prossimale in modo sodio-dipendente, la quota restante viene assorbita a livello distale indipendentemente dall'assorbimento del sodio.
I fattori che regolano la distribuzione del calcio tra osso e compartimento vascolare sono 3 ormoni e più precisamente: il paratormone (PTH), che agisce direttamente sul rene e sull'osso ed in modo indiretto vitamina D-mediato a livello intestinale, la vitamina D che agisce su osso, rene ed intestino e che come il PTH ha effetto ipercalcemizzante, e la calcitonina, che agisce su rene ed osso ed ha un effetto ipocalcemizzante.
La vitamina D
Quando si parla di vitamina D si fa riferimento sia alla vitamina D2 (ergocalciferolo) sia alla vitamina D3 (colecalciferolo), che derivano rispettivamente dagli alimenti e dalla sintesi endogena a livello cutaneo.
1. La sintesi endogena parte da un precursore cutaneo, la provitamina D3 o 7deidrocolesterolo, che sotto l'azione dei raggi UV viene trasformato in vit. D3. Tale produzione è regolata localmente e non permette un'intossicazione da vitamina D in caso di eccessiva esposizione solare in quanto a livello cutaneo vengono a formarsi dei prodotti inerti (lumisterolo, tachisterolo, tossisterolo…) e inoltre vi è la melanina, che con la sua funzione protettiva nei confronti dei raggi U.V. ne riduce l'assorbimento da parte dell'epidermide, limitando, quindi, la conversione del 7-idrocolesterolo.
Vi sono molteplici fattori che regolano questa prima tappa del metabolismo della vitamina D:
età: con l'aumentare dell'età si riduce la quantità di vitamina D sintetizzata; si stima che soggetti di 70 anni abbiano una produzione di vitamina D a livello cutaneo ridotta del 75%.
sede, ora e durata dell'esposizione solare: diversi studi hanno dimostrato come l'esposizione ad 1 MED (minimal erythemal dose) corrispondano all'assunzione di 20.000 UI di Vitamina D.
fattori ambientali in senso lato, come l'altitudine e la latitudine, l'inquinamento, l'aumento del living indoor…
razza: considerando la diversa concentrazione di melanina a livello cutaneo, le popolazioni con cute di fototipo 5-6 o di pelle nera necessitano di un'esposizione 10-50 volte maggiore rispetto a quelle di pelle 2-3 o bianca. Il discorso della razza va, in realtà, interpretato nel senso più ampio possibile: prendendo in considerazione le predisposizioni genetiche differenti tra le diverse popolazioni, si può notare ad esempio che nella razza nera vi è una predisposizione genetica al rachitismo nutrizionale e ancora che i soggetti asiatici hanno un'attività del calcidiolo-24-idrossilasi superiore a quella dei bianchi. Inoltre è stato ipotizzato che possa esserci un ridotto assorbimento intestinale di vitamina D dovuto ad una possibile concomitante anemia ferrocarenziale.
creme protettive: se utilizzate in modo appropriato, cioè spalmandone 2mg/cm2, comportano una riduzione dell'assorbimento degli UV del 95% nel caso di creme con fattore 8 di protezione, e fino a più del 99% in quelle con fattore 15. Va comunque considerato che la maggior parte delle persone non fanno uso appropriato delle creme solari e quindi la produzione di vitamina D viene comunque mantenuta a livelli soddisfacenti.
religione/costume: le regole dettate da alcune religioni determinano in alcune popolazioni un rachitismo ”comportamentale” secondario al tipo di indumenti indossati (che possono ridurre notevolmente la superficie d'assorbimento) o a diete particolarmente restrittive.
2. Un'altra importante fonte di vitamina D è rappresentata dall'alimentazione (e in tal senso è utile prendere in considerazione le diverse abitudini alimentari nei diversi Paesi).
Gli alimenti più ricchi di vitamina D sono notoriamente gli olii di pesce ed in particolar modo l'olio di fegato di merluzzo, l'olio di sgombro, sardina e salmone (120-320 UI/100kcal); si ritiene sufficiente la loro assunzione 3-4 volte alla settimana per assicurare un apporto ottimale di vitamina D.
Anche il latte è un elemento importante, ma la quantità di vit D2 in esso contenuta è variabile: nel latte materno si ritrovano 4-100 UI/L a seconda del periodo dell'allattamento, nel latte vaccino 5-40 UI/L e nel latte in formula 40-80 UI/100 kcal.
Altri alimenti ricchi di Vitamina D sono il succo d'arancia, il pane, i cereali ed infine l'uovo.
In rapporto alle abitudini alimentari, va ricordato che l'obesità si associa al deficit di vitamina D: si sa infatti che tale vitamina, sia essa assunta con la dieta o sintetizzata a livello cutaneo, si deposita a livello del tessuto adiposo ed in tal modo diminuisce notevolmente la sua biodisponibilità. In effetti, paragonando soggetti obesi a un gruppo di controllo e misurando i livelli di vitamina D in un caso dopo la medesima esposizione solare e in un altro caso dopo somministrazione della medesima dose di vitamina, i soggetti obesi possedevano livelli inferiori di tale sostanza nello stesso intervallo di tempo.
Di fatto al momento questo dato, seppur dimostrato da più studi clinici, ha scarsa rilevanza pratica, dal momento che non vi sono raccomandazioni ufficiali alla supplementazione con vitamina D per i soggetti obesi.
Sia la vitamina D3 prodotta endogenamente sia la D2 assunta con l'alimentazione, una volta giunte nel fegato, vengono idrossilate in posizione 25, trasformandosi in calcifediolo -25(OH)D-, una forma ancora inattiva dell'ormone, la cui produzione è regolata con un meccanismo a feed-back.
Legato ad una proteina ematica, tale prodotto viene nuovamente idrossilato in posizione 1 ad opera della 1-alfa-idrossilasi, trasformandosi nella forma attiva dell'ormone, il calcitriolo -1,25 (OH)2D. L'attività della 1-alfa idrossilasi aumenta in caso di ipocalcemia ed è regolata anche dal livello di PTH, estrogeni, prolattina e GH.
Contemporaneamente si ha la produzione di altre forme inattive di ormone, quali la 24,25 e la 1,24,25 (OH)D, i quali vengono successivamente trasformati in acido calcitrioico, biologicamente inattivo.
Il calcitriolo agisce legandosi direttamente ad un recettore intranucleare, chiamato VDR, il quale interagisce con un recettore per l'acido retinico formando un eterodimero, che a sua volta si lega ad una sequenza specifica del DNA, stimolando la trascrizione genica.

Come agisce la vitamina D
L'azione più conosciuta della vitamina D (nella sua forma attiva, il calcitirolo) riguarda il metabolismo osseo, con un effetto ipercalcemizzante che si esplica su tessuti diversi:
a livello intestinale facilita il riassorbimento del calcio assunto con la dieta
a livello osseo stimola la produzione di osteocalcina, osteopontina, fosfatasi alcalina; inoltre il recettore è presente sugli osteoblasti, dove favorisce la produzione del RANK-ligando, il quale a sua volta interagisce sul recettore RANK sugli osteoclasti immaturi, che in seguito diventano appunto osteoclasti maturi e rilasciano il calcio dall'osso
a livello renale il calcitriolo determina un riassorbimento del calcio a livello del tubulo prossimale
A livello osseo e renale l'azione della vitamina è mediata dal PTH.
I recettori VDR si trovano anche in altre cellule (ipofisi e cervello, cellule emopoietiche, gonadi, cute, muscoli scheletrici, placenta…), dove il calcitriolo ha una funzione di controllo dei meccanismi di proliferazione-differenziazione cellulare.
Recentemente, infatti, sono stati studiati altri ruoli della vitamina D: immunomodulante, con prospettive terapeutiche per le malattie autoimmuni, anti-proliferativo, per cui viene usata nel trattamento della psoriasi e ci sono prospettive per la terapia anti-neoplastica, e la possibilità di prevenzione delle malattie cardiovascolari.

I rachitismi: cause e classificazione
La prima causa di rachitismo è rappresentata dal difetto di vitamina D. Tale situazione si può verificare in caso di:
carenza dietetica di vitamina D, contenuta negli alimenti prima citati. Inoltre vanno prese in considerazione anche tutte le patologie gastrointestinali che determinano un malassorbimento (celiachia, malattie epatobiliari con alterazioni del circolo enteroepatico e di assorbimento delle vitamine liposolubili, insufficienza pancreatica cronica, FC)
ridotta sintesi endogena, che si può verificare in caso di mancata o insufficiente esposizione cutanea al sole (non dimentichiamo in questo senso le ospedalizzazioni protratte o il consiglio di utilizzare creme solari a schermo totale!) ma anche in caso di malattie cutanee gravi, come ad esempio le ustioni estese di II o III grado.
Un'altra causa di rachitismo è rappresentata dalle patologie renali, quali l'insufficienza renale cronica, l'acidosi tubulare prossimale e tutte le tubulopatie (sindrome di Fanconi, cistinosi, tirosinemia…).
In corso di insufficienza renale cronica si verifica una riduzione della fosfaturia, con conseguente iperfosforemia ed ipocalcemia, oltre all'insufficiente attivazione renale della vitamina D.
L'ipoparatiroidismo (congenito o autoimmune) e lo pseudoipoparatiroidismo (a trasmissione AD, da difetto recettoriale) possono essere causa di rachitismo in quanto alterano l'azione della vitamina D (che in parte è proprio PTH-mediata); in tal caso è necessario somministrare la forma attiva della vit. D (1,25(OH)2D o calcitriolo), dato che manca l'azione attivante della 1-alfa-idrossilasi a livello renale, che è mediata dal PTH.
Alcuni farmaci alterano il metabolismo della vitamina D o del calcio, e più precisamente:
il fenobarbital e la fenitoina alterano l'assorbimento intestinale del calcio e la mobilizzazione dello ione dall'osso
il fenobarbital, inoltre, agisce sugli enzimi microsomiali epatici, determinando un'inibizione della 25-idrossilasi epatica ed un'attivazione del catabolismo del calcitriolo; controverso è il ruolo inibitorio svolto dall'acido valproico
i glucocorticoidi riducono l'attività della 1-alfa idrossilasi, ostacolano l'assorbimento intestinale di calcio e la mobilizzazione dello ione dall'osso e stimolano l'apoptosi degli osteoblasti
Esistono forme di rachitismo geneticamente determinate che non rispondono alla normale terapia ormonale sostitutiva.
Per farla breve e per semplificare le cose, parleremo di due tipi di rachitismo:
i rachitismi vitamina D “carenti” per tutti i motivi che abbiamo già discusso, e che rispondono, come intuibile, alla somministrazione della vitamina mancante (ed all'esposizione solare)
i rachitismi vitamina D “resistenti-dipendenti”, generalmente dovuti a difetti di tipo genetico, in cui la sola somministrazione di vitamina D non è sufficiente per risolvere il problema
Queste ultime forme sono in realtà molto più rare, ma è importante conoscerle e pensarle in quanto, come tutte le malattie genetiche, sono più frequenti tra consanguinei e va considerato che in molte zone ad alta prevalenza di rachitismo (in alcune regioni dell'Africa ad esempio) sono frequenti i matrimoni tra consanguinei e possono quindi esserci famiglie con rachitismi “genetici” e non carenziali, che richiedono un diverso approccio terapeutico.
Quali sono le fasi della vita a rischio di deficit di vitamina D?
Accanto alle situazioni sovradescritte che sono causa di un probabile deficit di vitamina D, è utile ricordare che esistono delle fasi della vita in cui il si può verificare un maggiore fabbisogno di tale vitamina.
La prima fase critica è rappresentata dal periodo fetale, in cui la crescita è piuttosto rapida, soprattutto nelle ultime due-tre settimane di vita intrauterina, e l'aumentata richiesta di vitamina D è necessaria sia per la costituzione dell'abbozzo scheletrico sia per la formazione dei germi dentari e della dentina.
Successivamente il secondo momento di massima richiesta di vitamina D per quanto concerne la crescita è durante i primi anni di vita e, in seguito, nella fase di spurt di crescita, che avviene circa tra gli 11 e i 14 anni (l'adolescenza).
Tra gli eventi biologici durante i quali è richiesto un maggior quantitativo di vitamina D vi è la formazione dei denti decidui e permanenti e la pubertà.
Ultima fase critica come richiesta di nutrienti è la gravidanza, quando vi può essere un deficit di vitamina D che in tale momento deve sopperire non solo alle necessità della donna bensì anche a quelle del feto.
Rachitismo carenziale
Quali segnali occorre saper riconoscere
Il deficit di vitamina D è la causa del rachitismo.
La presentazione clinica più classica nei soggetti originari dei Paesi Industrializzati oggi è molto sfumata, ma può essere presente nei Paesi in via di sviluppo e in soggetti emigrati (soggetti di razza nera ed asiatici in particolare), motivo per cui ci si può ancor oggi imbattere in tale patologia.
Le manifestazioni cliniche del rachitismo si possono suddividere in modo schematico in manifestazioni ossee e non ossee.
Alterazioni ossee
Le alterazioni scheletriche possono interessare qualsiasi tipo di osso e quasi tutti i distretti.
A livello del cranio i segni classici sono:
il craniotabe caratterizzato da una mollezza anomala dell'osso generalmente a livello delle ossa occipitali e parietali lungo la sutura lambdoidea e che, seppur presente, non è patognomonico del rachitismo;
le bozze frontali dovute all'espansione delle ossa frontali, che in alcuni casi può essere determinata da un idrocefalo (idrocefalo rachitico);
l'allargamento delle fontanelle ma con normale tempo di chiusura.

Inoltre fortemente colpite sono sia le piccole che le grandi articolazioni, caratterizzate da un ispessimento ed un allargamento che:
a livello costale sono causa del rosario rachitico (si ritrova in circa il 60% dei casi)
a livello sternale del pectus carinatum
a livello della colonna vertebrale portano frequentemente ad una curvatura laterale (scoliosi) di grado lieve, mentre può comparire una cifosi dorso lombare, evidente specie in posizione seduta
a livello delle caviglie e dei polsi determinano la comparsa del classico "braccialetto rachitico" (presente in circa l'80% dei casi)
a livello del femore, tibia e perone conducono ad un incurvamento definitivo di tali segmenti o al ginocchio valgo; la coxa vara rappresenta talora la conseguenza di un rachitismo. Fratture a legno verde si verificano a carico delle ossa lunghe e possono non dare segni clinici.
Le deformità del rachide, della pelvi e degli arti inferiori sono causa a volte della bassa statura (nanismo rachitico).

Alterazioni non ossee
L'ipotonia muscolare è spesso presente e tende ad aggravare la situazione motoria già compromessa per i problemi ossei ed articolari. Di conseguenza i bambini con rachitismo abbastanza grave imparano spesso tardi a reggersi in piedi ed a camminare. Il rilassamento dei legamenti contribuisce all'instaurarsi delle deformità e rende conto in parte del ginocchio valgo e dell'iperestensione articolare.
La prominenza dell'addome dipende in gran parte dalla debolezza dei muscoli della parete addominale (l'evidenza del solco di Harrison dipende da una depressione orizzontale lungo il bordo inferiore del torace corrispondente all'inserzione costale del diaframma).
Non sono rare l'ipoplasia dello smalto dentario, la carie e la ritardata eruzione dei denti, che si verifica mediamente circa 2-3 mesi dopo dell'atteso.

Accanto ai quadri descritti che sono espressione di un rachitismo "classico" (anche se non raro da trovare nelle popolazioni immigrate), ve ne sono altri molto più sfumati, da ricercare in presenza di condizioni di rischio o in presenza di segni clinici non così classicamente eclatanti. Una recente sorveglianza retrospettiva condotta in Inghilterra su bambini asiatici e di razza negra ha evidenziato che circa il 40% dei bambini con deficit di vitamina D ha presentato i sintomi clinici correlati all'ipocalcemia. Il 70% di questi bambini non aveva segni radiologici di rachitismo. Il rimanente 60% dei bambini con rachitismo aveva alterazioni radiologiche tipiche, con o senza segni clinici.
Laboratorio e Radiologia
Alcuni esami di laboratorio possono essere fortemente fuorvianti a causa di meccanismi di compenso che si attivano per ristabilire i normali livelli di calcio circolante e di vitamina D (considerando che normalmente si dosa il calcidiolo o 25 (OH)D, i cui valori normali sono >20 ng/ml).
I bassi livelli di vitamina D comportano un diminuito assorbimento di calcio a livello intestinale e quindi bassi livelli circolanti, che vengono ripristinati tramite il rilascio di PTH. Per tale motivo non sempre è dirimente valutare i livelli ematici di calcio e, con il medesimo meccanismo, quelli di calcidiolo.
Nel caso in cui il meccanismo di compenso non sia più sufficiente, il calcidiolo può essere basso e, se i valori sono inferiori a 4 ng/ml (pari a 10 nmol/L), si possono già apprezzare le alterazioni radiologiche.
Anche il fosforo inizialmente può essere normale, ma poi i livelli scendono a causa di un'aumentata secrezione renale determinata dal PTH. Se però i livelli sono molto bassi è necessario pensare ad un rachitismo renale.
A questo punto è ovvio comprendere i valori elevati di PTH in circolo.
Dal momento che si verifica un fenomeno di rimaneggiamento osseo, anche alcune sostanze costitutive dell'osso possono esser riscontrate in quantità superiori alla norma, sia nel sangue (ad esempio l'osteocalcina) sia a livello urinario (ad esempio l'idrossiprolina).
Pertanto ci possiamo trovare di fronte, a seconda della gravità del rachitismo (da alcuni classificato "in fasi"), ad una calcemia normale o ridotta (la riduzione della calcemia è a volte sintomatica, con tetania e/o convulsioni), fosforemia più tipicamente ridotta e livelli di fosfatasi alcalina elevati.
Il dosaggio della vitamina D è basso e da alcuni viene considerato il gold standard per la diagnosi di rachitismo.
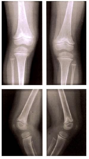
Diagnosi per immagini
Le tipiche alterazioni scheletriche descritte corrispondono a delle chiare immagini radiografiche che permettono una facile diagnosi.
Le alterazioni principali riguardano tutte e tre le porzioni delle ossa lunghe.
La cartilagine epifisaria si presenta ispessita, a forma di coppa e radiotrasparente a livello dell'incontro con la metafisi, la quale a sua volta possiede una struttura trabecolare con disegno alterato che si può evidenziare già nel primo anno di vita a carico dell'ulna e del radio.
Le alterazioni diafisarie, invece, sono date da un assottigliamento corticale e da un incurvamento dell'asse dell'osso.

Terapia
La terapia del rachitismo si basa sulla somministrazione della vitamina D carente.
Se il rachitismo è da carenza nutrizionale il quantitativo di vitamina D3 da somministrare è pari a 800-4000 UI/die (da decidere in base all'età) per 6-12 settimane e successivamente si può passare alla supplementazione 200-600 UI/die.
Nel caso in cui il rachitismo sia secondario al malassorbimento cronico, le dosi di vitamina D necessarie sono ovviamente più alte, pari a 5.000-20.000 UI/die per os o 10.000 UI/die i.m.
Nel caso in cui il rachitismo sia associato o secondario a insufficienza epatica o renale, con conseguente riduzione della quota di vitamina in forma attiva, è necessario somministrare 0.5-2 mcg/die di 1,25(OH)2D3.
In alcuni casi selezionati, può essere utile una monosomministrazione di alte quantità di vitamina D, pari a 15000 mcg (=600000 UI, ricordiamo che 1 mcg di vitamina D equivale a 40 UI).
Nelle forme molto gravi di rachitismo può essere necessario somministrare in aggiunta alla vitamina D il calcio per os, a dosi pari a 40-120 mg/kg/die nei lattanti fino ad un massimo di 1 g/die nei bambini più grandi. La somministrazione di calcio per via endovenosa è necessaria solo nei rari casi di tetania o convulsioni secondarie all'ipocalcemia grave.
L'efficacia della terapia si rende progressivamente evidente dopo alcune settimane dall'inizio e lo si può documentare sia sulla base della clinica, sia sui reperti radiografici o laboratorisitici; di fatto il quadro radiografico tende a normalizzarsi nell'arco di 2-4 settimane.
Esiste anche la possibilità di un'intossicazione da vitamina D che si manifesta circa dopo 2-3 mesi dall'eccessiva assunzione di vitamina D e si manifesta con ipotonia, anoressia, irritabilità, costipazione, polidipsia, poliuria, pallore.
Vi può essere inoltre un ipercalcemia e ipercalciuria evidenziata dal laboratorio e più rari ma sempre possibili manifestazioni quali vomito, ipertensione, stenosi aortica, cataratta e retinopatia.
Nel caso in cui il bambino non risponda prontamente alla terapia, va considerata l'ipotesi di un rachitismo di tipo vitamina D-resistente/dipendente, su base genetica.
Ipofosfatemia familiare
L'ipofosfatemia familiare, conosciuta anche come ipofosfatemia x-linked o rachitismo vitamina D-resistente, rappresenta la più frequente causa di rachitismo di tipo “non-carenziale”, con un'incidenza stimata attorno a 1:20000.
Il difetto genetico più frequente è una mutazione del gene PHEX localizzato su Xp22.1, a trasmissione X-linked; più raramente il difetto riguarda altri geni e si trasmette in modo autosomico dominante.
Il difetto genetico determina un ridotto assorbimento tubulare del fosforo ed una ridotta conversione della vitamina D nella forma attiva 1,25 idrossilata; è inoltre associato un difetto intrinseco dell'osteoblasto, di natura ancora non ben chiarita.
Manifestazioni cliniche
I bambini affetti da tale patologia presentano delle notevoli deformità ossee, soprattutto a carico delle ossa lunghe, a rapido accrescimento: gli arti inferiori sono tendenzialmente ricurvi, con coxa vara e genu varo o valgo, l'andatura è altalenante e vi è una bassa statura (i soggetti non trattati hanno una statura definitiva prevista variabile dai 130 ai 165 cm).
Sono inoltre associate delle alterazioni dentali, ed in particolare deformità pulpare, alterazioni della dentina intraglobulare ed infezioni periapicali, mentre le alterazioni dello smalto sono solo occasionali.
Rispetto alla forma di rachitismo carenziale, non vi sono generalmente manifestazioni tetaniche né i caratteristici segni come il rosario rachitico ed il solco di Harrison.
Laboratorio
Tipica è l'ipofosfatemia conseguente all'iperfosfaturia; i valori della calcemia sono normali o tendenzialmente alti, con paratormone normale, a differenza delle forme carenziali.
La fosfatasi alcalina è aumentata, da rimaneggiamento osseo. I valori di vitamina D attiva -1,25 (OH)2D- sono generalmente normali
Quadro radiologico
Si osserva una rarefazione della trabecolatura ossea ed un allargamento delle metafisi con deformazione “a coppa”.
Le ossa maggiormente interessate sono appunto quelle a rapido accrescimento, come la tibia, il femore, il radio e l'ulna.

Terapia
Il cardine della terapia è il tampone fosfato, che va somministrato frequentemente durante la giornata (almeno 5 volte/die) al dosaggio di 70-100 mg/kg/die. L'effetto collaterale di tale terapia è la diarrea, che comunque tende a migliorare con il tempo.
I preparati disponibili in commercio sono:
soluzione di Joule (miscela di acido fosforico e bifosfato sodico): 1 ml = 30.4 mg di fosfato
Reducto Spezial: 1 cpr = 250 mg di fosfato
Un altro presidio terapeutico è rappresentato dalla forma attiva della vitamina D, che va somministrata a dosaggi sostitutivi (0.03-0.06 mcg/kg/die). L'effetto collaterale di tale terapia è rappresentato dalla nefrocalcinosi, presumibilmente conseguente all'aumento della calcemia (già in partenza normale o tendenzialmente alta), che determina un'ipercalciuria con depositi renali di calcio; alcuni studi ipotizzerebbero un efficacia dei diuretici tiazidici nel prevenire tale effetto collaterale.
La terapia cronica con vitamina D è associata anche ad un aumentato rischio di patologie cardiovascolari, che si manifestano con ipertensione ed ipertrofia ventricolare sinistra; si presume che anche il difetto del gene PHEX sia responsabile dell'insorgenza di effetti collaterali cardiovascolari con un meccanismo mediato dalle endoteline.
Per la terapia della bassa statura associata, è possibile una terapia sperimentale con rhGH, al dosaggio di 0.2-0.5 mg/kg/settimana. Nei casi più gravi può essere necessario ricorrere ad interventi chirurgici di osteotomia.
Rachitismo Vit D dipendente-tipo I
Il rachitismo vit.D-dipendente di tipo 1 è conosciuto anche come pseudodeficit di vit. D o rachitismo ipocalcemico vit.D-resistente.
Si tratta di una malattia a trasmissione autosomica recessiva dovuta ad una mutazione del gene posto sul cromosoma 12 che codifica per l'enzima 25(OH)D 1-alfa-idrossilasi, che idrossila la vit.D in posizione 1 e la rende biologicamente attiva.
Manifestazioni cliniche
La malattia si manifesta con un rachitismo ad esordio precoce, con possibilità di crisi ipocalcemiche gravi, che si possono manifestare con tetania e convulsioni.
Vi sono inoltre astenia ed ipotonia importanti. A ciò si possono associare alterazioni dello smalto dentario.
In alcuni casi vi può essere una sindrome di Fanconi associata, che si manifesta con aminoaciduria, glicosuria e acidosi renale.
Laboratorio
Assomiglia a quello delle forme carenziali, ed è rappresentato da ipocalcemia con conseguente iperparatiroidismo ed ipofosforemia. La fosfatasi alcalina è aumentata, da rimodellamento osseo.
La forma attiva della vitamina D -1,25 (OH)2 D- è indosabile dal momento che è carente l'enzima che ne determina la produzione.
Terapia
In passato la terapia si basava sulla somministrazione di alte dosi di vitamina D (200000-1000000 IU/die). Attualmente si somministra la forma attiva della vit.D (il calcitriolo appunto) al dosaggio di 0.5-2 mcg/die.
Sono inoltre disponibili analoghi sintetici di tale vitamina (ligandi del recettore VDR, deltaniodi, 1-alfa idrossicolecalciferolo o alfacalcidiolo, 3-alfa epimeri), che hanno un'attività simile a quella umana; non vi sono al momento studi che hanno valutato la loro efficacia e tollerabilità in età pediatrica.
In alcuni casi acuti può rendersi necessaria la somministrazione di calcio per via endovenosa o per os ad alte dosi.
Rachitismo Vit D dipendente – tipo II
E' nota anche come resistenza ereditaria alla 1,25 (OH)2D, ed è una patologia a trasmissione autosomica recessiva dovuta ad alterazioni del recettore della vitamina D, il VDR, che possono interessare sia il sito di legame con la vitamina stessa (ligand-binding domain), sia il DNA-binding domain.
Manifestazioni cliniche
Si manifesta con i segni di rachitismo già nei primi mesi di vita, mentre sono più rare l'ipocalcemia e le crisi convulsive. I soggetti affetti hanno inoltre un deficit staturale.
Anche in questo caso vi sono delle alterazioni dentarie associate, che si manifestano con ipoplasia dentaria e carie frequente.
Nelle forme più gravi vi può essere un'alopecia totale irreversibile, il che fa pensare ad un ruolo della vitamina D anche nello sviluppo del follicolo pilifero.

Laboratorio
Vi è ipocalcemia con conseguente iperparatiroidismo secondario.
Anche in questo caso vi è un aumento della fosfatasi alcalina da rimaneggiamento osseo. La forma attiva circolante della vitamina D (calcitriolo o 1,25 (OH)2D) è tendenzialmente alta, ma inefficace data l'alterazione del suo recettore.
Terapia
Si basa sulla somministrazione di alte dosi (15-30 mcg/die) di vit.D in forma attiva, per cercare di vincere la resistenza recettoriale. In alcuni casi può essere necessaria la somministrazione di calcio.
Bibliografia di riferimento
1) Wharton B, Bishop N, Rickets, Lancet 2003, 25;362(9393):1389-1400 leggi
2) Bouillon R et al, Intestinal calcium absorption: molecular vitamin D mediated mechanism, J Cell Bioch 2003; 88: 332-9
3) Wortsman J et al, Decreased bioavailability of vitamin D in obesity. Am J Clin Nutr 2003; 77(5): 1342
4) Singh J et al. The investigation of hypocalcemia and rickets, Arch Dis Child 2003; 88: 403-7
5) Kreiter SR et al, Nutritional rickets in African American breast-fed infants, J Pediatr 2000; 137(2): 153-7
6) Ladhani S, Srinivasan L, Buchanan C, Allgrove J, Presentation of vitamin D deficiency, Arch Dis Child 2004; 89(8): 781-4
7) Scheinman S J et al, Genetic disorders of renal elctrolite transport, NEJM 1999; 340(15):1177-87
8) Rowe PSN, The molecular background to hypophosphatemic rickets, Arch Dis Child 2000; 83: 192-4
9) Francis F et al, Genomic organization of the human PEX gene mutated in X-linked dominant hypophosphatemic rickets, Genome Research 1997; 7: 573-85
10) Seikaly M G, Baum M, Thiazide Diuretics arrest the progression of nephrocalcinosis in children with X-linked Hypophosphatemia, Pediatrics 2001; 108(1): 1-4
11) Nehgme R et al, Cardiovascular abnormalities in patients with X-linked Hypophosphatemia, J Clin End Met 1997; 82(8): 2450-4
12) Baroncelli G et al, Effect of GH treatment on final height, phosphate metabolism, and BMD in children with X-linked hypophosphatemic rickets, J Pediatr 2001; 138: 236-43
13) Malloy PJ et al, The vitamin D receptor and the Syndrome of hereditary 1,25-Dihydroxyvitamin D-resistent Rickets, Endocrine reviews 20(2): 156-88
