Una bambina con febbre e dolore alle ossa
Clinica Pediatrica, IRCCS Burlo Garofolo, Trieste
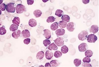
Decidiamo di eseguire un aspirato midollare che mostra un’invasione completa da parte di cellule blastiche con aspetti di tipo L1 compatibile con la diagnosi di LEUCEMIA LINFOBLASTICA ACUTA (LLA)
Dal punto di vista clinico, la LLA ha una presentazione aspecifica e spesso di breve durata: stanchezza, inappetenza, irritabilità sono intermittenti; febbricola, dolore osseo e/o artralgie; solo successivamente compaiono i segni correlati all’invasione midollare (pallore, petecchie, sanguinamenti). La febbre spesso ha una chiara origine infettiva. Nel caso di una localizzazione al SNC sono possibili segni di ipertensione endocranica. Le leucemie a cellule T si possono associare a sintomi mediastinici. Ha un picco di incidenza tra 2-6 anni
La diagnosi raramente viene suggerita dalla presenza di blasti in circolo (nel nostro caso inizialmente non c’erano), a meno che non si tratti di una forma molto aggressiva o di uno stadio già avanzato con importante leucocitosi. Diagnostico risulta invece l’aspirato midollare.
La stadiazione della leucemia prevede l’esecuzione di una puntura lombare per valutare l’eventuale interessamento del SNC.
Pui C.-H.. Medical Progress: Childhood Leukemias. N Engl J Med 1995; 332:1618-1630.
Quali sono fattori prognostici favorevoli nella LLA?
