Paralisi cerebrale e disturbi dell'alimentazione:
gli esami strumentali per la diagnosi
Clinica Pediatrica, IRCCS Burlo Garofolo, Trieste
Indirizzo per corrispondenza: marzia_lazzerini@libero.it
Il problema clinico
La prevalenza dei bambini affetti da paralisi cerebrale (PC) sembra essere in lieve aumento, al pari della loro sopravvivenza. Questo è determinato da una migliore assistenza perinatale, con riduzione dei tassi di mortalità ed aumento delle sequele a distanza. Il gruppo a maggior rischio di PCI è quello dei bambini di basso peso alla nascita e/o pretermine, in cui il danno neurologico dipende soprattutto da cause perinatali, come la sindrome ipossica ischemica, con esiti a volte anche molto gravi (Figura 1).
Uno dei principali problemi che i bambini con PC possono presentare riguarda le difficoltà nell’alimentazione. Per semplificare possiamo dire che queste difficoltà possono essere di natura “alta”, ovvero da disfagia oro-faringea, o di natura “bassa”, ovvero da reflusso gastro-esofageo (RGE), o più raramente, da dis-motilità del tratto a valle lo stomaco. E’ importante tenere a mente che queste condizioni possono spesso coesistere.
I problemi di alimentazione rendono più problematica la quotidianità del bambino (l’irritabilità, il dolore, fino alla paura dell’ab-ingestis), e possono diventare una causa di malattia secondaria (le polmoniti ab ingestis, la pneumopatia cronica, l’esogagite con anemizzazione, la vera e propria malnutrizione, fino a quadri in cui il problema, misconosciuto, può essere anche molto grave).
Il sospetto diagnostico
Uno dei passi fondamentali è quello di distinguere tra un problema di alimentazione da disfagia oro-faringea o da RGE, poiché le due situazioni impongono interventi di tipo diverso.
I segni della difficoltà alimentare di origine “alta”, sono in un certo senso più riconoscibili ed immediati (difficoltà nella deglutizione, dis-organizzzaione dei movimenti orali, ristagno del cibo in bocca, tosse, aspirazione per incoordinazione nella deglutizione-chiusura della glottide e mancanza del riflesso della tosse, episodi di desaturazione durante il pasto). Si tratta però di valutarli sempre nei termini di un’alimentazione eseguita correttamente (postura: contenimento delle spalle, capo leggermente flesso; consistenza del cibo: semisolida, omogenea; posate adatte).
I sintomi del RGE vanno invece ricercati e valorizzati, poiché spesso questi (la ruminazione, il dolore, il rifiuto del cibo, l’iperestensione del capo con atteggiamento in opistotono, ma anche la tosse ed il vomito), possono confondersi nella complessità del quadro neurologico.
La diagnosi
I passi che riteniamo utili per la diagnosi sono, oltre all’anamnesi accurata ed all’osservazione clinica:
1. Un tentativo di nutrizione con SNG (se risolve completamente il problema verosimilmente si tratta di una difficoltà di origine “alta”)
2. Nel sospetto di disfagia oro-faringea: deglutogramma
3. Nel sospetto di RGE: terapia ex-adiuvantibus con antiacidi, in particolare inibitori della pompa protonica, Rx con pasto baritato, Esofago-gastro-duodenoscopia (EGDS), pH-metria
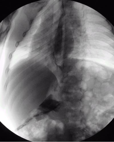
- Deglutogramma e transito esofageo con pasto di bario: evidenzia il passaggio del bolo di mezzo di contrasto dall’orofaringe allo stomaco, e l’eventuale reflusso (Figura 2), mettendo in luce anche alterazioni anatomiche (ernia iatale). Offre inoltre la possibilità di studiare il transito oltre il piloro. Il difetto dell’esame è quello di “fotografare” ciò che accade in “quel momento”, ed in questo senso la sensibilità per RGE è di fatto stimata intorno 50%. Nei bambini portatori di gastrostomia percutanea per via endoscopica (PEG) il contrasto è iniettabile attraverso il “bottone” di gastrostomia (Figura 2 bis).
- EGDS: è l’esame più indicativo se positivo, poiché “vede” direttamente lo stato della mucosa esofagea e fornisce quindi anche una stima della gravità del problema (Figure 3, 4, 5). Può tuttavia risultare falsamente negativo nei soggetti che hanno assunto terapia antiacida per lungo tempo, fino a poco prima di eseguire l’esame (si veda al proposito l’articolo “Perché si sbaglia” sul M&B cartaceo di questo mese). Evidenzia anche alterazioni anatomiche (ernia iatale).
- PH-metria (Figura 6). Nel bambino che non presenta cerebropatia la pHmetria viene ritenuta il golden-standard diagnostico, assieme all’esame istologico dell’esofago. Il problema centrale della pH-metria riguarda le scale di riferimento in base alle quali interpretare i risultati.
Anche nei casi con PC l’esame può essere utile, soprattutto nei casi “sospetti” (cioè di solito nei i bambini non gravi, che non presentano clinicamente segni chiari di patologia dareflusso). Tuttavia nella maggioranza dei casi di fronte ad un sospetto clinico fondato di patologia di reflusso l’EGDS rappresenta il primo passo diagnostico che ha l’obiettivo di capire la gravità della patologia da reflusso. Come detto in precedenza L’EGDS può tuttavia risultare falsamente negativa nei casi lievi o nei casi in recente terapia antiacida. La PH-metria può essere utile in corso di terapia per dimostrane l’efficacia.
E’ tuttavia utile ricordare che i pazienti con PC hanno un problema di reflusso in percentuali stimate del 25-75% e che in molti casi di fronte ad un sospetto clinico è più utile trattare empiricamente con inibitori della pompa protonica senza ricorrere in prima istanza ad esami strumentali.
Bibliografia
- Rosenbaum P, Cerebral palsy: what parents and doctors want to know, BMJ VOLUME 326 3 MAY 2003, 970-875 leggi [PDF] - 143 Kb
