Sangue e muco nelle feci
1 Servizio di Gastroenterologia, Clinica Pediatrica, IRCSS Burlo Garofolo, Trieste
Indirizzo per corrispondenza: jbua@tiscali.it
Il primo caso ovvero sangue e muco a fine defecazione
Vediamo per la prima volta E. in ambulatorio. Ha 5 anni. La mamma ci racconta che da circa 4 mesi, presenta un aumento della frequenza del numero delle defecazioni (fino a 4-5 volte/die), ma di consistenza normale e che al termine della defecazione � evidente abbondante muco con a volte sangue rosso vivo che vernicia le feci in superficie. Le evacuazioni sono spesso precedute da dolori addominali. I dolori non sono mai di intensit� importante tale da interferire con le normali attivit� della bimba. E. in questi 4 mesi non ha mai avuto febbre, non � calata di peso � anzi � cresciuta � e ha sempre appetito. In passato non ha mai sofferto di stipsi. Alla visita la bambina si presenta in ottime condizioni generali; all'esame obiettivo l'addome � piano, trattabile con lieve dolenzia al fianco destro, non visceromegalia. Escludiamo lesioni anali che possano giustificare il sangue a fine defecazione (...ma il muco?): l'orifizio anale � integro, la mucosa rosea, non ci sono ragadi.
In base alla storia clinica di E. (il muco abbondante ed il sangue rosso vivo sopra le feci) formuliamo 3 ipotesi:
- un polipo del colon
- una rettocolite ulcerosa all'esordio
- emorroidi interne (seppure mai storia di stipsi).
Alla luce di queste ipotesi non ci rimane che ricoverare brevemente la bambina per eseguire una colonscopia.
Agli esami l'emocromo e la ferritina sono nel range della norma (Hb 11, MCV 79, GB 4170, N 2100, L 1500, Eo 80, PLT 449000); gli indici di flogosi negativi (VES 2, PCR 0), negativi gli ASCA e gli ANCA
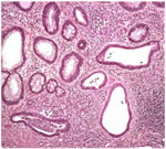
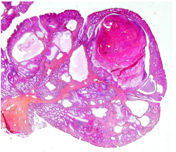
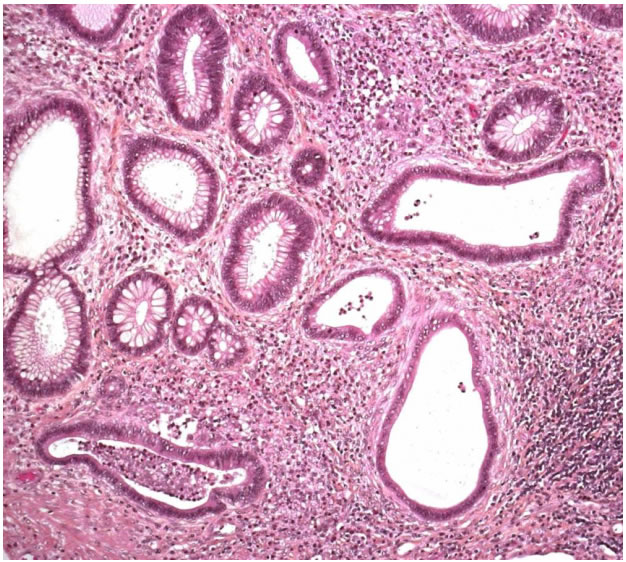
Eseguiamo in sala operatoria la colonscopia che a circa 10-15 cm dall'orifizio anale evidenzia la presenza di un polipo peduncolato (Figura 1 e Figura 2) senza altri polipi nel restante colon. Rimuoviamo il polipo completamente con ansa diatermica (Figura 3 e Figura 4). L'esame istologico mostra mucosa colica con infiltrato infiammatorio e presenza di formazioni cistiche ripiene di muco, compatibile con polipo giovanile solitario. In figura 5 e figura 6 � illustrato il tipico aspetto istologico del polipo giovanile del retto.





Il secondo caso ovvero un'anemia inspiegata
Sergio � un bimbo di 7 anni che giunge alla nostra attenzione per anemia sideropenica severa (Hb 5,6 g/dl) riscontrata casualmente in seguito ad esami eseguiti per un episodio di artrite. La storia clinica di Sergio � muta ad eccezione di epistassi frequenti a cui viene attribuita l'anemia (?). Il bambino viene messo in terapia con ferro per via orale per due mesi con iniziale buona risposta.
A distanza da alcuni mesi dalla fine del ciclo di ferro orale si ricontrollano i livelli dell'emoglobina che risultano ancora bassi. Viene pertanto ripetuto il ciclo di ferro orale ma nuovamente con rapida ricaduta dell'anemia alla sospensione. Gli anticorpi anti-tTG e gli EMA sono negativi, escludendo la celiachia come causa possibile di malassorbimento. Pensiamo ad sanguinamento occulto intestinale ed eseguiamo la ricerca di sangue occulto fecale che risulta positiva.
Per ricercare la causa delle perdite ematiche eseguiamo un' esofagogastroduodenoscopia che non evidenzia n� lesioni esofagee n� gastriche n� duodenali (ricerca per H.pylori: negativa). La scintigrafia, nell'ipotesi di un diverticolo di Meckel, � anch'essa negativa.
La colonscopia � ancora una volta risolutiva! Visualizziamo a circa 25-30 cm dall'orifizio anale un polipo solitario di circa 1,5 cm che rimuoviamo con elettrocoagulazione. L'esame istologico del polipo conferma la diagnosi: polipo giovanile solitario. Non sono stati riscontrati altri polipi e nella storia di Sebastiano non vi � familiarit� per poliposi. Dopo la polipectomia, l'anemia di Sebastiano non � stata pi� riscontrata.
La discussione
Le classificazioni dei polipi sono diverse. Una di queste li distingue in 2 categorie istologiche principali: polipi intestinali amartomatosi con bassissima se non assente evoluzione neoplastica e quelli adenomatosi a maggior rischio neoplastico. I polipi solitari in et� pediatrica sono nella stragrande maggioranza amartomatosi, mentre quelli adenomatosi sono estremamente rari manifestandosi pi� frequentemente nei bambini con un genitore o parente di 1� grado che abbia avuto un adenocarcinoma o un adenoma colico-rettale. Le poliposi possono anch'esse essere distinte in amartomatose fra cui le pi� comuni sono la poliposi giovanile colica o generalizzata a seconda della localizzazione intestinale dei polipi, la sindrome di Peutz-Jeghers, e quelle adenomatose fra cui la poliposi adenomatosa familiare, la sindrome di Gardner e di Turcot.
Ilpolipo giovanile solitario detto anche �polipo infiammatorio� o �da ritenzione� (per la presenza di cisti ritentive di muco) � dunque il polipo pi� frequentemente riscontrato in et� pediatrica con una frequenza che raggiunge l'1% dei bambini in et� pre- e scolastica. L'et� media alla diagnosi � di 4 anni. La manifestazione con cui pi� frequentemente esordisce e per la quale viene fatta la colonscopia che porta alla diagnosi � il sanguinamento rettale (presente nel 90% dei casi), che di solito non si accompagna a dolori addominali importanti. Tipica seppure meno frequente � la presenza di abbondante muco nelle feci. Molto pi� rara come esordio � l'anemia da sanguinamento occulto, come nel caso di Sergio.
I polipi giovanili solitari hanno una bassissima se non assente evolutivit� in cancro del colon. Pochissimi sono i casi di degenerazione neoplastica segnalati in letteratura (8 in totale). Una review di 82 pazienti affetti da polipo solitario giovanile ha mostrato l'assenza di un aumento del rischio di sviluppare una neoplasia colica. Nonostante ci�, i polipi giovanili solitari giovanili dovrebbero essere comunque rimossi per via endoscopica per permettere la diagnosi istologica che confermi la loro natura amartomatosa escludendo, seppure rarit�, la presenza di un adenoma. Infatti la biopsia del polipo rispetto alla polipectomia perde il 25% delle anormalit� istologiche (distinzione sicura tra polipo adenomatoso vs amartomatoso). E' da ricordare che se nel caso la rimozione non fosse possibile immediatamente, � utile informare i genitori di porre attenzione alle feci per la possibilit� di auto-amputazione del polipo. Non dobbiamo poi dimenticare che se nuovi sintomi dovessero comparire, la possibilit� di una poliposi giovanile non pu� essere esclusa.
Bibliografia di riferimento
Aspetto istologico del polipo giovanile: infiltrato infiammatorio e cisti ripiene di muco
