Malformazione adenoido-cistica congenita (CCAM) polmonare
1UO di Neonatologia e T.I.N., IRCCS �Burlo Garofolo�, Trieste
2UO di Radiologia, IRCCS �Burlo Garofolo�, Trieste
Indirizzo per corrispondenza: lorenzo.calligaris@inwind.it
P. � un bambino secondogenito, nato a 39 settimane di et� gestazionale da parto spontaneo con peso adeguato (2990 grammi, 10-25� centile), a cui � stata diagnosticata attraverso l'ecografia prenatale la presenza di una malformazione adenoido-cistica polmonare (CCAM) coinvolgente il lobo medio e apicale di destra, senza sbandieramento del mediastino. Alla nascita viene trasferito in Neonatologia per la comparsa di un moderato distress respiratorio e viene avviata una minima supplementazione di ossigeno con pressione positiva continua attraverso cannula naso-faringea (N-CPAP).
All'ingresso in reparto il bambino appare in buone condizioni generali e l'obiettivit� evidenzia solo una moderata polipnea, senza altri elementi di rilievo.
| |||||
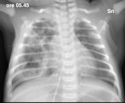
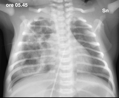
Una radiografia del torace documenta un campo polmonare di destra in gran parte occupato da opacit� disomogenea, nel cui contesto si evidenziano multiple areole di radio-trasparenza; campo sinistro senza alterazioni e lieve sbandieramento del mediastino (Figura 1). Il quadro appare compatibile con la diagnosi prenatale di CCAM. Visto il rapido miglioramento clinico del quadro respiratorio e la normalit� dell'emogas-analisi, la N-CPAP viene rimossa dopo poche ore. | Figura 1. Rx-torace: campo polmonare di dx in gran parte occupato da opacit� disomogenea: si
evidenziano multiple areole di radio-trasparenza; campo sx senza
alterazioni e lieve sbandieramento del mediastino. L'esame
evidenzia un catetere ombelicale che si proietta in sede atriale
(ritirato subito dopo). In sede epigastrica un area circolare di
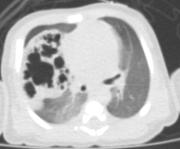
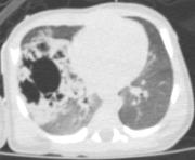
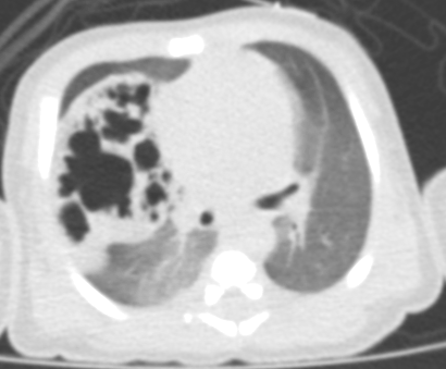
radiotrasparenza, attribuibile a un elemento dell'incubatore. Per una miglior definizione del problema, anche in vista dell'intervento, viene effettuata una TC-polmonare che evidenzia a destra una formazione irregolarmente ovalare di circa 5 cm di diametro massimo, apparentemente ben marginata, con numerose formazioni cistiche aerate circostanti (Figure 2 e Figura 3). Alla luce della diagnosi il bambino viene quindi sottoposto con successo ad intervento di lobectomia parziale dei lobi medio e superiore di destra. |
| Figure
2 a b. TC-polmonare: evidente a dx una formazione
irregolarmente ovalare di circa 5 cm di diametro massimo. | ||
| La
formazione � apparentemente ben marginata, con numerose
formazioni cistiche aerate circostanti. Il successivo decorso postoperatorio non ha presentato complicazioni (2 giorni di ventilazione meccanica e drenaggio pleurico). L'alimentazione gi� avviata con suzione autonoma prima dell'intervento, � stata ripresa il giorno successivo all'operazione con buona tolleranza ed il bambino � stato dimesso, a diciotto giorni di vita, in buone condizioni generali ed in allattamento materno esclusivo, con un programma di follow-up presso la chirurgia del nostro istituto. |
| |||
Dall'esame |
Figura 3. Ricostruzione TC: l'albero bronchiale con la lesione adenoido-cistica, evidenziata dopo sottrazione del parenchima polmonare circostante.
Che cosa � la CCAM
La malformazione adenoido-cistica congenita (CCAM) � una delle pi� comuni anomalie polmonari congenite. Si tratta di una rara alterazione polmonare caratterizzata da tessuto polmonare displastico o amartomatoso, frammisto a tessuto polmonare normale, in genere confinato ad un solo lobo1. La lesione verosimilmente � conseguente ad un insulto in fase embriologica, antecedente ai 50 giorni di gestazione, con alterato sviluppo delle strutture bronchiolari terminali2.
Istologicamente � presente poco tessuto polmonare normale e si rilevano molti elementi ghiandolari; le cisti sono molto comuni e la cartilagine � rara (insulto pi� tardivo). Le CCAM vengono classificate sostanzialmente in 3 tipi:
Tipo I (macrocistico): una o pi� grosse cisti (diametro >2 cm) delimitate da epitelio pseudostratificato ciliato; la parete della cisti contiene cellule muscolari lisce e tessuto elastico. In un terzo dei casi sono presenti cellule secernenti muco e la cartilagine � raramente presente. Buona prognosi per la sopravvivenza.
Tipo II (microcistico): multiple piccole cisti con istologia simile al tipo I. Si associa in genere ad altre anomalie e ha una prognosi peggiore.
Tipo III: lesione solida con strutture simil-bronchiolari delimitate da epitelio cuboide ciliato e separate da aree di epitelio cuboide non-ciliato. Forma a prognosi peggiore.
Diversamente dalla cisti broncogena intrapolmonare, la CCAM � irrorata da un'arteria di origine polmonare e la cisti comunica con l'albero tracheobronchiale. L'esordio clinico � variabile; nel neonato pu� manifestarsi con un distress respiratorio progressivo severo, infezioni respiratorie e pneumotorace, nel bambino pi� grande o nell'adulto possono comparire polmoniti ricorrenti a carico di un lobo. Un massa polmonare con componente solida prevalente si ritrova in genere nei neonati o nei prematuri e si pu� associare ad idrope, ascite e polidramnios. In alcuni casi, le cisti di piccole dimensioni rimangono asintomatiche e rappresentano un reperto occasionale in occasione di un'indagine strumentale.
I reperti radiologici sono in genere diagnostici e dipendono dal tipo di malformazione presente. La radiografia del torace pu� documentare cisti singole o multiple o una massa solida. Un pneumatocele, un enfisema lobare congenito, una cisti broncogena o un'ernia diaframmatica entrano nella diagnosi differenziale; una tomografia computerizzata o una risonanza magnetica, in caso di lesione complessa, saranno d'aiuto in questo senso, anche per valutare una malformazione evidenziata in epoca pre-natale e non evidenziata alla radiografia standard. La valutazione istologica rappresenta la conferma diagnostica. La diagnosi ecografia prenatale � possibile a partire dalla 16a settimana ma, come nel nostro caso, soprattutto dalla 21a1-3.
Laprognosi dipender� prevalentemente dalla grandezza e dalla progressione della lesione; la relazione tra l'aspetto istologico e l'outcome � controversa. Lesioni di grosse dimensioni possono determinare, attraverso la compressione del tessuto adiacente, un'ipoplasia polmonare. In alcuni casi la lesione pu� regredire o scomparire spontaneamente; in casi a decorso pi� severo pu� invece progredire e causare morte fetale da idrope o morte neonatale secondaria ad ipoplasia polmonare. I reperti ecografici che suggeriscono una prognosi peggiore includono polidramnios, idrope, ascite, sbandieramento mediatstinico e lesioni completamente adenomatose. L'interruzione di gravidanza viene consigliata in caso di idrope, malformazioni severe associate ed anomalie cromosomiche. Il drenaggio di cisti di grosse dimensioni o la rimozione di masse solide di grandi dimensioni in utero, consente in alcuni casi un miglior sviluppo del tessuto polmonare ed un miglioramento delle condizioni del feto2-4. In tutti i casi di sospetta CCAM la resezione chirurgica � raccomandata per evitare la comparsa di infezioni ricorrenti e per la segnalazione di aumentata incidenza di neoplasie polmonari primitive; tuttavia voci discordi, che spingono per un approccio pi� conservativo in casi non sintomatici ci sono5-7. La prognosi a lungo termine, che dipender� dalla quota di tessuto polmonare residuo, sar� comunque generalmente buona.
Bibliografia
Nelson Textbook of Pediatrics. 17th edition. W.B Saunders Company, 2004:1424.
Pathological case of the month. Congenital cystic adenomatoid malformation of the lung. Arch Pediatr Adolesc Med 2000;154(6):633-4.
Cystic Adenomatoid Malformation of the Lung: Review of Genetics, Prenatal Diagnosis and in Utero Treatment. Am J Med Gen 2006;140A:151-55.
Horak E, Bodner J, Gassner I, et al. Congenital Cystic Lung disease: Diagnostic and Therapeutic Considerations. Clin Pediatr 2003;42:251-61.
Sauvat F, Michel JL, Benache A, et al. Management of Asymptomatic Neonatal Cystic Adenomatoid Malformations. J Pediatr Surg 2003;38:548-52.
Chetcuti J, Crebbe G. CAM lungs: the conservative approch. Arch Dis Child Fetal Neonatal Ed. 2006;91;463-64.
Jaff� A, Chitty LS. Congenital cystic malformation may not require surgical intervention. Arch Dis Child Fetal Neonatal Ed 2006;91;464.




