Troppa acqua non fa crescere
Scuola di Specializzazione in Pediatria, IRCCS Pediatrico �Burlo Garofolo�, Universit� di Trieste
indirizzo per corrispondenza: samuele.naviglio@gmail.com
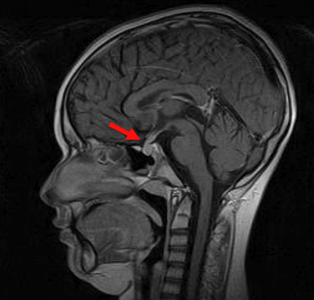
Vediamo F., 12 anni, per un rallentamento della crescita staturale, comparso da circa un anno. Ci viene detto inoltre che da 2 anni presenta polidipsia (beve 3-4 l d'acqua al giorno) con poliuria (4 l di urine/die). Alla visita appare in buone condizioni generali, obiettivit� nella norma, sviluppo prepubere (S1, PH1). Dagli esami di laboratorio si rileva ipernatriemia (Na 149 mEq/l) con osmolalit� plasmatica ai limiti superiori della norma (294 mOsm/kg) e bassa osmolalit� urinaria (174 mOsm/kg), con un rapporto tra le due pari a 0,59, indicativo di un difetto totale di ADH. Viene avviata terapia con desmopressina che porta a normalizzazione della diuresi e dei valori di laboratorio, confermando l'ipotesi di diabete insipido centrale. Dal punto di vista ormonale risultano nella norma prolattina, TSH, ACTH, cortisoluria nelle 24 ore, test GnRH (valori prepuberali) mentre il test da stimolo del GH con arginina mostra un deficit di secrezione (picco 1,6 ng/dl) con bassi livelli di IGF1. Nella norma emocromo, indici di flogosi, transaminasi, creatinina, glicemia, anti-tTG, visita oculistica e neurologica, campimetria. La RM encefalo mostra: "adenoipofisi aumentata di volume (9 mm di spessore) che tende a conglobare e a ispessire il peduncolo ipofisario. La struttura ghiandolare risulta omogenea anche dopo mdc con impregnazione che coinvolge anche il peduncolo. Non riconoscibile invece la neuroipofisi� (Figura 1).
Le ipotesi pi� probabili a questo punto sono un'istiocitosi a cellule di Langerhans peduncolo-ipofisaria, un germinoma o un'ipofisite autoimmune. Nel sospetto di un germinona sono stati dosate alfa-fetoproteina, beta-HCG e fosfatasi alcalina placentare su sangue e liquor, risultate nella norma, cos� come la citologia liquorale. Per l'istiocitosi sono risultate negative le radiografie total body, cranio e torace, e l'ecografia tiroidea, anche se esistono casi infrequenti di localizzazione ipofisaria isolata. L'ipofisite autoimmune � rara in pediatria, presenta di solito un quadro ormonale diverso ed � spesso associata ad anticorpi anti-ipofisi, risultati negativi. In conclusione al momento il quadro non consente una diagnosi eziologica e tutte le ipotesi suddette rimangono possibili. Infatti � piuttosto frequente in caso di diabete insipido centrale con ispessimento del peduncolo che non sia possibile inizialmente raggiungere una diagnosi e alcuni casi possono rimanere idiopatici. In questi casi viene consigliato di monitorare il paziente clinicamente e con RM e rachicentesi seriate prima di un'eventuale biopsia, e allo stesso tempo monitorare la presenza di altre manifestazioni sistemiche. La RM encefalo eseguita a distanza di 2 mesi dalla prima non ha mostrato evoluzioni del quadro.

Figura 1.
tratto da: Confronti Giovani, XXIV Congresso Nazionale Confronti in Pediatria
Trieste, Palazzo dei Congressi della Stazione Marittima 2-3 dicembre 2011
