Ipoacusia monolaterale permanente nel bambino: approccio diagnostico e impatto sulla vita del paziente
Scuola di Specializzazione in Pediatria, IRCCS Materno-Infantile "Burlo Garofolo", Universit� di Trieste
Indirizzo per corrispondenza: avmarcuzzo@gmail.com
L�eziologia dell�ipoacusia monolaterale (Unilateral Hearing Loss, UHL) differisce in parte da quella delle ipoacusie bilaterali (Bilateral Hearing Loss, BHL) ed � stata storicamente meno studiata (Figure 1 e 2). L�obiettivo di questo studio � stato descrivere l'eziologia delle UHL, in particolar modo indagando la prevalenza delle malformazioni nei soggetti affetti, e determinare l'impatto della patologia sulla vita sociorelazionale dei pazienti.
Figura 1. Eziologia dell�ipoacusia monolaterale.
Figura 2. Livelli di gravit� dell�ipoacusia monolaterale.
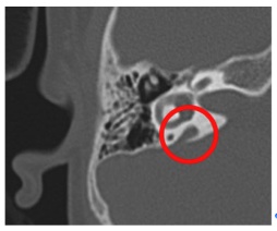
Abbiamo reclutato 39 bambini affetti da UHL che si sono presentati presso la struttura complessa di audiologia e otorinolaringoiatria dell'IRCCS �Burlo Garofolo� nel periodo compreso tra gennaio 2012 e agosto 2013. Per valutare l'eziologia tutti sono stati valutati da un team multidisciplinare, 34 sono stati sottoposti a tomografia computerizzata ad alta definizione dell'osso temporale (HDTC, Figura 3) e/o a risonanza magnetica e a 17 � stato somministrato un questionario da noi elaborato, per valutare l'impatto della patologia sulla vita socio-relazionale. Come gruppi di controllo sono stati reclutati un gruppo di pazienti normoacusici e un gruppo di pazienti con ipoacusia bilaterale (BHL).
La prevalenza delle malformazioni in questi pazienti � stata del 60% ma non � stata trovata associazione tra queste e grado dell'ipoacusia. Gli score ottenuti nei questionari dei casi rispetto ai controlli sono stati significativamente pi� bassi (p=0,012) indicando come la patologia abbia un impatto negativo sulla vita socio-relazionale dei pazienti affetti da UHL (Figura 4).
Figura 3. Tomografia computerizzata ad alta definizione dell'osso temporale (HDTC).
Figura 4. Significativit� delle differenze fra i vari gruppi.
