Una bambina piccola con le dita coniche
Scuola di Specializzazione in Pediatria, Università di Trieste
Indirizzo per corrispondenza: valentina.carrato@gmail.com
Una bambina di 7 anni è seguita presso l’ambulatorio di Endocrinologia per scarsa crescita in terapia sostitutiva con ormone della crescita. Aveva infatti presentato una flessione della crescita staturale dai 2 anni di età (passaggio dal 3-10° percentile a poco sotto il 3°), con consensuale incremento del percentile di peso, per cui aveva eseguito accertamenti che avevano riscontrato un deficit di secrezione dell’ormone della crescita. Dall’avvio della terapia sostitutiva, la bambina aveva però sempre mantenuto una statura al di sotto del 3° percentile, fino a giungere alle -3 deviazioni standard, sebbene il dosaggio della terapia sostitutiva fosse massimale. Per il resto è sempre stata bene e ha avuto un normale sviluppo psicomotorio.
All’esame obiettivo si è però resa evidente nel tempo una bassa statura all’apparenza disarmonica (arti corti rispetto al tronco), con mani e piedi grandi, e assenza di altre alterazioni focali o segni di dismorfismo scheletrico (eccetto palato ogivale e brachidattilia delle mani).
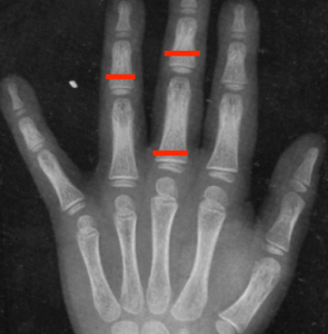
Nel sospetto di displasia scheletrica sono stati eseguiti cariotipo e analisi del gene SHOX risultati nella norma, e acquisiti radiogrammi total-body, da cui sono emersi due elementi guida: l’aspetto di deformazione conica delle falangi intermedie e prossimali (cone-shaped epiphyses) (Figura 1), associate a irregolarità metafisarie elettivamente localizzate alle ginocchia di entità lieve (aree radiopache, trabecolatura grossolana) progressivamente più evidenti nel corso degli anni. Tali caratteristiche radiologiche rappresentano aspetti altamente specifici di ipoplasia cartilagine-capelli (CHH) / osteocondrodisplasia metafisaria tipo McKusick: la diagnosi è stata poi confermata al sequenziamento del gene RMRP che ha rilevato una mutazione in doppia eterozigosi, di cui entrambi i genitori sono portatori sani.
L’ipoplasia cartilagine-capelli è una displasia scheletrica caratterizzata da bassa statura e una condrodisplasia metafisaria che impedisce una corretta crescita dell’osso. I capelli sono di colore più chiaro rispetto a quelli dei familiari per carenza di pigmento, possibilmente associata a ipotricosi, ipopigmentazione cutanea e anomalie ungueali. I pazienti affetti possono inoltre sviluppare un deficit dell’immunità di varia entità con predisposizione a infezioni ricorrenti e/o opportunistiche e maggior rischio di sviluppare neoplasie (basaliomi, leucemia, linfomi), motivo per cui è importante che la patologia sia riconosciuta.
Morale: in una bassa statura a esordio postnatale, che non risponde alla terapia sostitutiva con ormone della crescita, cerca e valorizza la sproporzione degli arti!
