Scoliosi da ortopedico perché sindromiche
Scuola di Specializzazione in Pediatria, Università di Trieste
Indirizzo per corrispondenza: francescobaldo11@yahoo.it
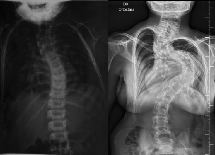
Giada è una ragazza di 16 anni affetta dalla sindrome di DiGeorge. Di questa condizione esprime alcuni tratti caratteristici, in particolare una tetralogia di Fallot diagnosticata con un’ecografia prenatale, e altri meno frequenti, come la scoliosi dorsale che ha iniziato a presentare quando aveva solo 3 anni. Se la tetralogia di Fallot è stata prontamente operata a 6 mesi di vita, lo stesso non si può dire della scoliosi, che è passata per anni di fisioterapia in fisioterapia, di medico in medico, senza mai trovare pace. Ha portato per ben 13 anni dei busti di vario tipo, che non hanno impedito il peggioramento della malattia, diventata via via più grave fino ad assumere i tratti di una vera e propria deformità (Figura 1). Alla scoliosi dorsale si è associata inoltre un’importate cifosi, che rendeva faticoso persino guardare negli occhi i genitori. Finalmente, a 16 anni compiuti, la ragazza è stata sottoposta a intervento chirurgico correttivo mediante il posizionamento di un sistema allungabile di uncini, in modo da intervenire sulla patologia senza pregiudicare un adeguato accrescimento della colonna vertebrale, e di una trazione halo, per la correzione simultanea della cifosi associata. Il risultato, vista la condizione di partenza, è stato comunque buono, ma non eccellente, causa la tardività dell’intervento.
Anche Vincenzo, un bambino di 5 anni, ha una diagnosi di sindrome di DiGeorge, e anche lui ha iniziato a presentare una scoliosi molto precoce, all’età di soli 4 anni. A differenza di Giada, Vincenzo è stato sottoposto precocemente a terapia chirurgica, con ottimi risultati sulla sua scoliosi, che risulta appena accennata all’ultima Rx di controllo (Figura 2).
Le storie parallele di Giada e di Vincenzo dimostrano efficacemente come, davanti a una scoliosi precoce in un contesto sindromico, la terapia chirurgica debba essere intrapresa il prima possibile. I loro nomi potrebbero essere sostituiti da quelli di tanti altri bambini con molte altre sindromi (Prader-Willi, neurofibromatosi, Marfan, Noonan ecc.), ma l’approccio terapeutico non deve essere diverso. Posticipare la chirurgia prediligendo una terapia conservativa comporta un’evoluzione del danno al rachide, aumentando la difficoltà dell’intervento e ovviamente peggiorandone l’outcome.
Le scoliosi sindromiche sono scoliosi precoci, che peggiorano rapidamente (anche perché talvolta associate ad alterazioni vertebrali) e che vanno a complicare la storia e la funzionalità di un bambino spesso già compromesso su altri fronti. Sono per definizione le scoliosi da non dimenticare. E allora in questi bambini, con la stessa attenzione con cui approcciamo le loro varie complicanze internistiche, non dobbiamo mai dimenticarci che le loro schiene sono quelle più bisognose di un pronto aiuto chirurgico.
