Due casi di malformazioni cavernose cerebrali
1UOC Pediatria e Pronto Soccorso Pediatrico,
2Scuola di Specializzazione in Pediatria, Università di Catania, AOUP “G. Rodolico-San Marco”, Catania
Indirizzo per corrispondenza: umberto.mannara@icloud.com
Introduzione
Cosa può accomunare una cefalea persistente e una crisi epilettica focale in età pediatrica? Possono davvero due sintomi diversi avere una radice comune, nascosta e spesso silenziosa per lungo tempo? Addentriamoci nel labirinto delle diagnosi neurologiche pediatriche.
Caso clinico
La maschera della cefalea
Un bambino di 12 anni si presenta ripetutamente in Pronto Soccorso di un centro periferico per una cefalea ingravescente, profonda, localizzata in sede perioculare sinistra e irradiata alla fronte, talora con episodi di vomito. Nessuna risposta alla terapia analgesica, ma nemmeno segni di disfunzione neurologica evidente. L’ennesimo episodio lo porta al nostro Centro e tutto sembra indicare un mal di testa ostinato... finché dall’anamnesi non emerge un dettaglio che si rivelerà interessante: uno zio con derivazione ventricolo-peritoneale per presenza di angioma cavernoso cerebrale. Decidiamo pertanto di ricoverarlo per approfondire.
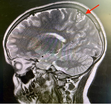
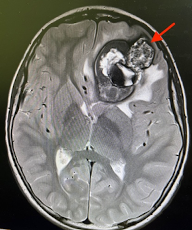
Gli esami ematici risultano nella norma, ma gli esami di imaging neuroradiologico (RM encefalo e angioRM) rivelano la presenza di cavernomi cerebrali multipli, uno più voluminoso in sede frontale sinistro con recente sanguinamento, associato a edema e discreto effetto massa (Figura 1 e 2)). Necessario quindi trasferimento in Neurochirurgia per intervento e in programma consulenza genetica.
Il fulmine epilettico
Un bambino di 11 anni arriva in PS dopo un episodio critico: perdita di coscienza, clonie al braccio destro, deviazione del capo e fissità dello sguardo. L’EEG mostra asimmetria del tracciato con ipovoltatura emisferica sinistra e numerose sequenze di onde theta aguzze nelle derivazioni temporali sinistre, suggestive per attività epilettiforme focale.
Si impone RM encefalo: lesioni multiple compatibili con cavernomi cerebrali, la maggiore in sede parietale mesiale posteriore sinistra, con segni di sanguinamento subacuto-cronico (Figura 3 e 4).
Previa esclusione di blocco atrio-ventricolare viene avviata terapia antiepilettica con lacosamide con buona tolleranza e richiesta consulenza neurochirurgica. Nessuna urgenza chirurgica: si conferma terapia antiepilettica e si programmano consulenza genetica e percorso di follow-up neurologico e strumentale.
Discussione
Le malformazioni cavernose cerebrali (CCM) sono lesioni vascolari caratterizzate dalla presenza di capillari dilatati a basso flusso, a carattere sporadico o familiare. Studi recenti mostrano che le forme familiari sono spesso più voluminose, con progressione più rapida1,2 e associate a mutazioni in KRIT1, CCM2, PDCD10. Nuove frontiere genetiche chiamano in causa anche PIK3CA e MAP3K3, specialmente nelle forme sporadiche3,4.
Le forme familiari costituiscono circa il 20-25% dei casi totali di CCM nella popolazione generale5. Nonostante l’epidemiologia nei bambini rimanga poco definita, meta-analisi recenti suggeriscono che circa un terzo delle CCM totali si manifestano in età pediatrica e che la gestione e l’esito dipendono dall’età, dalla localizzazione delle lesioni e dalla severità iniziale6,7.
In età evolutiva, sebbene spesso il riscontro sia incidentale, la presentazione clinica include crisi epilettiche, emorragie intracraniche, difetti neurologici8. Queste due storie ci ricordano che la stessa patologia può parlare lingue diverse. Nei bambini, la CCM può manifestarsi in modo sfuggente, mimetico, camuffata da sintomi comuni e solo uno sguardo attento e un approccio multidisciplinare orientato alla ricerca della causa possono svelare la verità dietro il sintomo. Perché, a volte... sintomi diversi condividono le stesse radici.
Bibliografia
- Jaman E, Abdallah HM, Zhang X, Greene S. Clin-ical characteristics of familial and sporadic pediat-ric cerebral cavernous malformations and out-comes. J Neurosurg Pediatr 2023;32(4):506-13. DOI: 10.3171/2023.5.PEDS22397.
- Chaussenot A, Ayrignac X, Chatron N, et al. Loss of heterozygosity in CCM2 cDNA revealing a structural variant causing multiple cerebral cavern-ous malformations. Eur J Hum Genet 2024;32(7):876-8. DOI: 10.1038/s41431-024-01626-7.
- Hongo H, Miyawaki S, Saito N. Epidemiology and Aetiology of Cerebral Cavernous Malfor-mations. Acta Neurochir Suppl 2025;136:143-9. DOI: 10.1007/978-3-031-89844-0_18.
- Hong T, Xiao X, Ren J, et al. Somatic MAP3K3 and PIK3CA mutations in sporadic cerebral and spinal cord cavernous malformations. Brain 2021;144(9):2648-58. DOI: 10.1093/brain/awab117.
- Zafar A, Quadri SA, Farooqui M, et al. Familial Cerebral Cavernous Malformations. Stroke 2019;50(5):1294-1301. DOI: 10.1161/STROKEAHA.118.022314.
- Paddock M, Lanham S, Gill K, Sinha S, Connol-ly DJA. Pediatric Cerebral Cavernous Malfor-mations. Pediatr Neurol 2021;116:74-83. DOI: 10.1016/j.pediatrneurol.2020.11.004.
- Haider MA, Azam F, Smith PD, et al. Manage-ment, and outcomes of pediatric cerebral cavernous malformations across age groups: A systematic re-view and meta-analysis of the literature. J Clin Neurosci 2025;137:111289. DOI: 10.1016/j.jocn.2025.111289.
- Santos AN, Rauschenbach L, Saban D, et al. Natu-ral Course of Cerebral Cavernous Malformations in Children: A Five-Year Follow-Up Study. Stroke 2022;53(3):817-24. DOI: 10.1161/STROKEAHA.121.035338.
