Una disfagia per i cibi solidi in un ragazzo di 12 anni
Unità Operativa di Gastroenterologia Pediatrica
Clinica Pediatrica, IRCCS Burlo Garofolo, Trieste
Indirizzo per corrispondenza: martelossi@burlo.trieste.it
L'esame
da eseguire in prima battuta in un paziente con disfagia è una
valutazione radiologica del transito esofageo con contrasto (bario).
Tale esame evidenzierà o escluderà la presenza di
stenosi, compressioni ab-estrinseco, diverticoli esofagei e spasmi
dell'esofago.
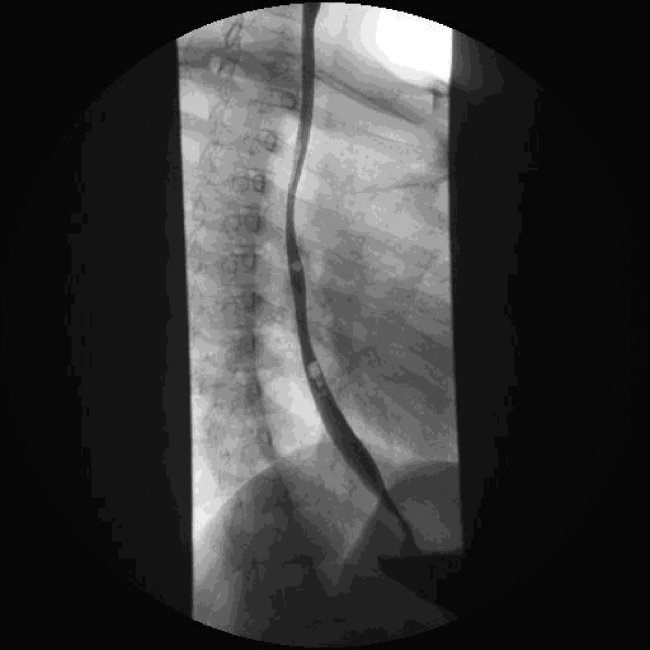
A. ha eseguito un pasto baritato che ha
evidenziato un esofago di calibro costantemente ridotto, con un
restringimento a livello del tratto superiore, scarsa peristalsi e
clearance rallentata (Figura
1).
Fig 1: il transito esofageo di Alessio

Quali sono quindi le vostre ipotesi diagnostiche?
