Un ragazzo con dolore addominale e diarrea
Clinica Pediatrica, IRCCS Burlo Garofolo, Trieste;
1 Servizio di Gastroenterologia Pediatrica;
2Dipartimento di II Patologia Chirurgica, Spedali Civili, Brescia
Indirizzo per corrispondenza: marchetti@burlo.trieste.it
L'esame
dirimente per poter fare diagnosi di INL è la colonscopia che
consente da una parte di evidenziare i follicoli ipertrofici che
appaiono come noduli sottomucosi (mammellonature) e dall'altra,
soprattutto nel caso in cui la sintomatologia si caratterizzi per
rettorragia, di escludere gli elementi di sospetto di una MICI
(lesioni ulcerative, granulomi, polipi, mucosa fragile e
sanguinante). L'esame istologico sui prelievi bioptici conferma la
presenza di infiltrato linfoplasmocitario.
Eravamo nella
condizione di confermare il sospetto diagnostico sulla base
dell'esame colonscopico già eseguito presso un altro presidio
ospedaliero o di essere "sicuri" di quanto ipotizzato con
l'esecuzione di una nuovo esame colonscopico (con visualizzazione
dell'ultima ansa intestinale). Il sospetto avanzato (ragionevole) che
si potesse trattare di una MICI, ci obbligava, a qualche mese di
distanza, di ripetere l'esame endoscopico.
L'ultima ansa ileale
mostrava grossolane granularità ad aspetto ipertrofico, simili
a mammellonature discretamente fragili (Figura
1); buona austratura e plasticità di tutto il colon;
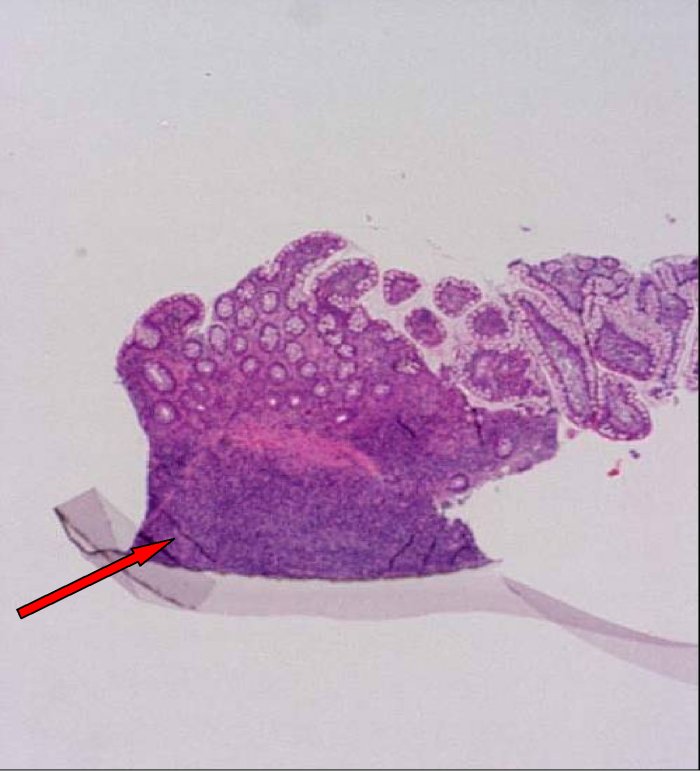
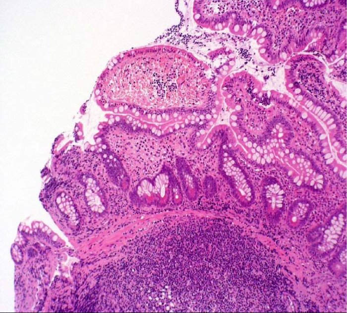
assenza di lesioni ulcero-erosive. L'esame istologico ha confermato
la presenza di noduli da infiltrato linfoide, confinato alla lamina
propria e alla superficie sottomucosa (Figura
2 a,b,c).
In virtù della associazione esistente fra IPL
dell'intestino e la celiachia abbiamo ricercato, vista anche la
familiarità positiva, la sua presenza sia con la genetica che
con la biopsia duodenale, negandola. Sono state considerate anche le
altre cause che sottendono a questa condizione, come uno stato di
immunodeficienza e/o la giardiasi, entrambe negate. La Giardia
lamblia è stata cercata a livello duodenale con metodica
immunoenzimatica.
A questo punto qual è secondo voi la decisione terapeutica da prendere?
Figura 1. Mucosa ileale con presenza di grossolane granularità ad aspetto ipertrofico della mucosa, simili a mammellonature discretamente fragili. Assenza di lesioni ulcero-erosive e di iperemia

Figura 2 (a,b,c). Sezioni a diverso ingrandimento di mucosa di intestino con colorazione in ematossilina eosina che mostrano la presenza di aggregati linfoidi iperplastici.



