Un ragazzo con dolore addominale e diarrea
Clinica Pediatrica, IRCCS Burlo Garofolo, Trieste;
1 Servizio di Gastroenterologia Pediatrica;
2Dipartimento di II Patologia Chirurgica, Spedali Civili, Brescia
Indirizzo per corrispondenza: marchetti@burlo.trieste.it
L'INL è una condizione benigna che tende alla risoluzione spontanea e pertanto non si rende necessaria, nella maggioranza dei casi, alcuna terapia.
Nel caso in cui venga svelata una causa sottostante come la giardiasi, la terapia sarà specifica.
Il riscontro di celiachia imporrà di seguire una dieta senza glutine, così come il riscontro di un'intolleranza alle proteine del latte vaccino passerà attraverso una dieta di esclusione fino al raggiungimento della tolleranza.
Nel caso di Andrea abbiamo ipotizzato che la causa innescante sia stata un'infezione intestinale, autolimitantesi, su cui si è inserita, ad esasperare la sintomatologia intestinale, una importante componente di emotività, sul modello del colon irritabile. L'unico nostro intervento in senso terapeutico è stato quello di rassicurare Andrea e la sua famiglia circa la benignità della patologia diagnosticata.
Abbiamo comunque valorizzato il dato anamnestico e clinico di riferite scariche diarroiche in seguito all'assunzione del latte che per questo motivo Andrea aveva escluso dalla dieta continuando ad assumere però i derivati. La correlazione con un quadro di intolleranza alle proteine del latte (a volte con un meccanismo non IgE mediato) è molto suggestivo nel bambino piccolo, ma nel nostro caso, dal momento che Andrea rifiutava il latte ma mangiava i derivati, si poteva sospettare un'intolleranza al lattosio (secondaria), che tra l'altro è stata esclusa. Abbiamo ritenuto ragionevole quindi rimandare ad un'eventuale persistenza o ripresa della sintomatologia la prova di esclusione dalla dieta anche dei derivati del latte valutandone gli effetti.
Andrea attualmente stà bene; i dolori addominali si sono gradualmente risolti, così come la diarrea.
Definizione di iperplasia nodulare linfoide
L'INL dell'intestino è un processo reattivo benigno che risponde anche alla definizione di psudolinfoma o ileite terminale. Può presentarsi a tutte le età ma più frequentemente si riscontra nell'infanzia.
A volte è un riscontro accidentale in pazienti sottoposti a colectomia o in corso di colonscopia soprattutto in corrispondenza degli ultimi centimetri di ileo terminale. In altri casi è invece sintomatico con modalità di presentazione varie e legate anche alla sede di localizzazione dell'iperplasia : dolore addominale generalmente periombelicale, diarrea, steatorrea, perdita di peso, rettorragia, stipsi cronica, quest'ultima nel caso in cui la causa sottostante sia l'allergia alle proteine del latte vaccino.
Da un'analisi retrospettiva condotta su 147 bambini affetti è emerso che sotto l'anno di età l'interessamento è pancolico e la modalità di presentazione più frequente è il sanguinamento senza dolore addominale; tra i 2 e i 6 anni l'iperplasia è sempre colica e può associarsi a dolore addominale e sanguinamento; sopra i 7 anni sembra invece che vi sia un equo coinvolgimento sia del colon che del piccolo intestino e che il sintomo predominante sia il dolore addominale. Nello specifico le localizzazioni più frequentemente interessate sono a livello del retto e della regione ileo-ciecale.
L'iperplasia nodulare linfoide può essere divisa dal punto di vista clinico patologico in 4 gruppi:
1. iperplasia focale linfoide dello stomaco
2. iperplasia focale linfoide del piccolo intestino
3. iperplasia focale linfoide di colon e sigma
4. iperplasia focale linfoide del retto
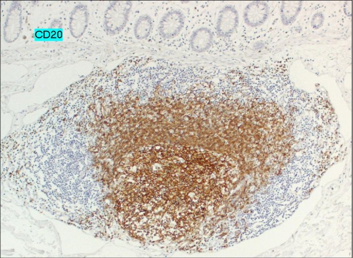
A differenza della forma gastrica, comunque rara, che può associarsi a lesioni ulcerose, questo non si verifica nella forma a localizzazione intestinale. Dal punto di vista istologico i noduli sono costituiti da infiltrato linfoide, composto soprattutto da linfociti B (più raramente linfociti T e plasmacellule) con rare plasmacellule, prominente, confinato alla lamina propria e alla superficie sottomucosa. Nella Figura 3 la reazione positiva per l'anticorpo CD20 dimostra la presenza di linfociti B nell'infiltrato, mentre la negatività dell'anticorpo CD3 conferma che l'infiltrato non è costituito dai linfociti T.

La diagnosi differenziale più importante è con il linfoma polipoide maligno e si basa sulla natura polimorfica e policlonale dell'infiltrato, sull'assenza di atipia cellulare e la presenza di follicoli reattivi all'interno delle lesioni che appaiono ipervascolarizzate.
Studi a lungo termine condotti su bambini affetti da INL isolata hanno escluso sequele a distanza. Possibili complicanze possono essere l'invaginazione e il prolasso rettale a partenza dai noduli linfatici.
Le cause
Sono state postulate diverse cause considerate responsabili di INL: la causa più frequente nel bambino piccolo è l'intolleranza alle proteine del latte vaccino (con conseguente attivazione immunitaria contro gli antigeni alimentari), spesso di tipo non IgE mediato; nel più grandicello leinfezioni virali. Tra le infezioni intestinali gioca un ruolo di primo piano la Giardiasi che può associarsi o meno a deficit di IgA.
La forma gastrica può associarsi invece ad infezione da Helicobacter Pylori.
Altra causa di INL del piccolo intestino è una condizione diimmunodeficienza caratterizzata da ipogammaglobulinemia, infezioni ricorrenti del tratto respiratorio (faringotonsilliti, sinusiti, polmoniti) e giardiasi, nota come sindrome di Herman.
Infine un reperto di INL nell'adulto deve far pensare ad una possibile concomitante celiachia.
La gestione
L'INL è un processo benigno che normalmente si risolve spontaneamente senza necessità di interventi specifici. L'unica terapia a disposizione è di tipo eziologico, quando venga individuata una causa sottostante.
Nel caso di riscontro di infezione da Giardia lamblia si rende necessario un ciclo di terapia con antiparassitario (metronidazolo o tinidazolo).
Nel caso di documentata allergia alimentare o celiachia la terapia passa attraverso una dieta di esclusione. Non vi sono segnalazioni in letteratura sull'uso di farmaci quali gli steroidi o la mesalazina. E' ragionevole pensare di utilizzare, nei casi in cui non è nota la causa, un breve ciclo di steroide in presenza di un importante sanguinamento con anemizzazione. L'efficacia del cortisone è stata dimostrata anche in singoli casi di invaginazione da INL.
Bibliografia

