Un lattante distrofico
1 Clinica Pediatrica, IRCCS Burlo Garofolo, Trieste
2 Dipartimento di Chirurgia Pediatrica, IRCCS Burlo Garofolo, Trieste
3 U.O di Radiologia, IRCCS Burlo Garofolo, Trieste
Indirizzo per corrispondenza: lorenzo.calligaris@inwind.it
Tutti
questi esami hanno un loro razionale. Vediamo nel dettaglio quale può
essere il loro contributo:
- L'emogas è un esame
fondamentale per la possibilità di evidenziare quadri di
acidosi o alcalosi metabolica. Un quadro di alcalosi metabolica di
tipo ipocloremico è un rilievo quasi obbligato in caso di
stenosi ipertrofica del piloro, come conseguenza del vomito ripetuto
con perdita di acidi e cloro. Anche nella fibrosi cistica un'alcalosi
metabolica ipocloremica (con eventuale ipopotassiemia ed
iponatriemia), può derivare da un eccesso di perdita di
cloruro di sodio con la sudorazione. In caso di malattia metabolica è
possibile evidenziare la presenza di un quadro di acidosi (acidemie
organiche) o di moderata alcalosi (difetti del ciclo dell'urea),
mentre nella SAG con perdita di sali è frequente il riscontro
di un'acidosi metabolica come conseguenza della disidratazione.
-
La ricerca dei grassi fecali permette di evidenziare, in
maniera semplice e rapida, la presenza di un eventuale
malassorbimento di grassi da insufficienza pancreatica da fibrosi
cistica o una enteropatia da altra causa (ad esempio IPLV).
-
L'emocromo ci potrebbe evidenziare un eventuale incremento
degli eosinofili presenti in caso di allergia alle proteine del latte
ed anche un eventuale anemia microcitica ferro-carenziale da
microperdite, più facilmente, o da malassorbimento, più
raramente.
- Come già accennato la valutazione degli
elettroliti può dare informazioni importanti: ipocloremia
conseguente al vomito nella stenosi ipertrofica del piloro o da
perdita di sali nella fibrosi cistica; iponatriemia ed iperkaliemia
nella SAG con perdita di sali.
- Un aumento dei livelli diammonio plasmatici si può ritrovare sia in presenza di
un difetto del ciclo dell'urea che in corso di alcune acidemie
organiche; d'altra parte non va dimenticato che un aumento fino al
doppio del valore normale è possibile nei lattanti (2).
Gli
esami effettuati al momento del ricovero hanno dato il seguente
esito: emocromo senza evidenza di anemia o eosinofilia, PCR negativa,
proteine totali (5,90 mg/dl) e immunoglobuline IgG: 246mg/dl un po'
basse per l'età (verosimilmente da iponutrizione), con IgA
ed IgM nella norma; glicemia lievemente bassa (67 mg/dl); colesterolo
totale, trigliceridi, funzionalità epatica e renale ed ammonio
nella norma. Negativa (su più campioni) la ricerca dei grassi
fecali. All'emogas è emerso un quadro di alcalosi metabolica
importante (pH 7.54, pCO2 30.4, pO2 53.3, HCO3 26.1, BE 4.6), questa
volta con elettroliti nella norma.
Il riscontro dell'alcalosi
metabolica, in aggiunta ad una rivalutazione attenta della
storia, caratterizzata da episodi quotidiani di vomito importante
insorti dopo il primo mese di vita, in una bambina che peraltro aveva
un introito calorico più che adeguato, ci ha indirizzato verso
una possibile stenosi ipertrofica del piloro; il rilievo di alcalosi,
assieme alla mancanza di segni di virilizzazione, contribuiva ad
escludere una possibile SAG, elemento confermato poi dalla normalità
del 17-OH progesterone che nel frattempo era stato richiesto. La
fibrosi cistica rimaneva una ipotesi da non trascurare, ma non vi
erano segni di insufficienza pancreatica (rimaneva in piedi la
decisone ragionevole se eseguire il test del sudore).
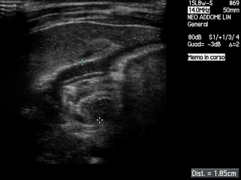
Abbiamo
quindi effettuato un'ecografia dell'addome che ha confermato
l'ipotesi diagnostica documentando un canale pilorico di 22 mm di
lunghezza con spessore della parete muscolare di 4 mm e diametro
totale di 18.5 mm (Figura
2).
Qual è
l'incidenza della stenosi ipertrofica del piloro?
-
1:100
-
1:1000
- 3:1000
-1:10000
Figura 2- Reperto ecografico di stenosi ipertrofica del piloro.

Lo scansione longitudinale del canale pilorico mostra ispessimento della tonaca muscolare (4mm), aumento del diametro complessivo del piloro stesso (18,5 mm) ed aumento della lunghezza del canale (22 mm).
