Un buon motivo per non crescere
Clinica Pediatrica, IRCCS Burlo Garofolo, Trieste
Indirizzo per corrispondenza: marchetti@burlo.trieste.it
Ecco gli approndimenti da noi richiesti:
Elettrocardiogramma, che nega la presenza di alterazioni della conduzione del segnale elettrico (non si repertano allungamento del Q-T e bradicardia)
Rx mano e polso, che evidenzia una condizione di sclerosi metafisaria (Figura 1).
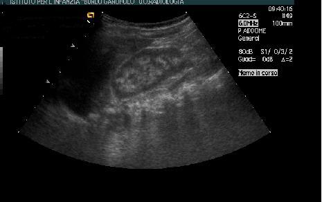
Ecografia rene, con evidenza di un quadro di nefrocalcinosi (Figura 2). La creatinina sierica e la pressione arteriosa sono comunque nella norma.
Visita oculistica, che non evidenzia depositi calcifici a livello della cornea.
Figura 1. Rx di mano-polso bilaterale
Quadro di osteosclerosi dell'estremit� distale diafiasaria, metafisaria, del radio e dell'ulna bilateralmente.

Figura 2. Ecografia renale
Iperecogenicit� midollare con marcata differenziazione cortico-midollare in un quadro di chiara nefrocalcinosi.

