Una disfagia per i cibi solidi in un ragazzo di 12 anni
Unità Operativa di Gastroenterologia Pediatrica
Clinica Pediatrica, IRCCS Burlo Garofolo, Trieste
Indirizzo per corrispondenza: martelossi@burlo.trieste.it
A questo
punto è obbligatorio eseguire un esame endoscopico
(esofagogastroduodenoscopia, EGDS) che permette di rivalutare
le ipotesi precedenti (diverticoli, stenosi asimmetriche), di
confermare la presenza di esofagite e di fare una diagnosi
differenziale tra esofagite da reflusso e esofagite eosinofila.
L'esame “gold standard” per l'EE è l'esame
istologico della biopsia esofagea, che mostra un quadro tipico di
infiltrato eosinofilo (>20/30 eosinofili).
Nel caso di
Alessio, l'EGDS mostra il seguente quadro: dallo iato superiore
l'esofago si presenta con un lume ristretto concentricamente con
anelli mucosi (dato peculiare della EE). A 20 cm restringimento
maggiore non anulare, con erosione superficiale e presenza di placche
biancastre adese (anche queste tipiche della EE); gli ultimi 5-7 cm
dell'esofago presentano un lume di maggior calibro (anche se sempre
ristretto), con placche biancastre diffuse; cardias beante, rigido,
con lume ristretto; stomaco con minima quantità di muco, non
lesioni mucose, cardias in retroversione. L'esame istologico ha
confermato la presenza di diffuso infiltrato eosinofilo.
Considerando
inoltre la forte associazione (oltre il 50%) con la rinocongiuntivite
allergica, l'asma ed il broncospamo (che Alessio aveva già
presentato) sono stati ripetuti i prick test, risultati positivi per
l'acaro (dermatophagoides pteronyssus 7/30, farinae 7/25), per
l'epitelio di cane (3/10) (lievissima positività anche per
le graminacee). Negativi invece i prick test per i maggiori allergeni
alimentari (grano, uovo, latte); negativi anche i RAST alimentari
“allargati”. E' inoltre presente eosinofilia con aumento della
quota di IgE totali (906)
Definizione della esofagite eosinofila
L'EE è
una malattia infiammatoria cronica dell'esofago caratterizzata
clinicamente da disfagia acuta e ricorrente per i solidi che
occasionalmente porta a “food impaction”, vomito e dolore
addominale; presenta inoltre alterazioni endoscopiche ed istologia
tipiche.
L'incidenza dell'EE è di 1/10.000, con una
prevalenza di 4/10.000. Colpisce più i maschi e femmine con un
rapporto di circa 4:1.
Dolore addominale, vomito (mucoide), “food
adversion” e arresto di crescita sono i sintomi presenti nel gruppo
di pazienti più giovani, mentre disfagia per i solidi e "food
impact" sono quelli presenti nei pazienti con più di 7
anni. La malattia sembra presentare un primo picco d'incidenza nei
primi anni di vita e un secondo picco tra i 10 e i 14 anni.
In
oltre la metà dei pazienti (62% in AJG; Orestein 2000, 68% in
JACI 2005) viene riferita un'allergia alimentare o precedenti episodi
di asma, rinite allergica o dermatite. Altra associazione possibile è
quella con la colite eosinofila.
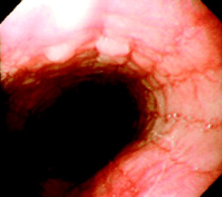
Tipici reperti endoscopici sono
le lesioni all'esofago anche prossimale (nell'esofagite da reflusso
le lesioni macroscopiche e/o istologiche sono esclusivamente del III°
inferiore dell'esofago), i “white specks” (placche biancastre),
la presenza di mucosa granulare ed iperemica, di restringimenti
esofagei, gli anelli esofagei (Figura
2), l'ispessimento della parete esofagea; inoltre
frequentemente si possono osservare dei solchi lineari, verticali
(Figura
3). Tali lesioni possono ricordare il quadro tipico
dell'esofagite da candida con cui l'EE entra in diagnosi
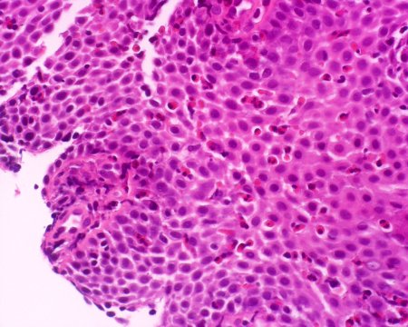
differenziale.Istologia caratteristica dell'EE è la presenza
di una densa infiltrazione eosinofila dell'esofago (≥ 20
eosinofili/HPF =high power field) in assenza di reflusso o infezioni
parassitarie (Figura
4). L'infiltrato eosinofilo è ancora più ricco di
cellule nella biopsia del terzo prossimale.
Talvolta il pasto
baritato può risultare normale, senza evidenza di anomalie; se
la malattia ha una lunga durata possono eventualmente essere rilevati
dei restringimenti e spesso l'esofago può apparire come un
“tubo rigido” (questo, secondo alcuni autori, giustificherebbe il
sintomo disfagia).
Nei pazienti con EE che sono stati sottoposti a
pH-metria, più che la presenza di picchi acidi, tipici del
RGE, è stata registrata la presenta di una “alcalinizzazione”
dell'esofago. Tale dato potrebbe essere spiegato dall'abbondante
salivazione conseguente alla discinesia esofagea, oppure dalla
possibilità che l'infiammazione esofagea stimoli le ghiandole
della sottomucosa a produrre bicarbonato.


2. Noel RJ, Putnam PE, Rothenberg ME. Eosinophilic esophagitis. N Engl J Med. 2004; 26;351(9):940-1
3. Munitiz V, Martinez de Haro LF, Ortiz A, Pons JA, Bermejo J, Serrano A, Molina J, Parrilla P. Primary eosinophilic esophagitis. Dis Esophagus 2003;16(2):165-8.
4. Arora AS, Yamazaki K. Eosinophilic esophagitis: asthma of the oesophagus? Clin Gastroenterol Hepatol. 2004;2(7):523-30.
5. Liacouras CA, Ruchelli E. Eosinophilic esophagitis. Curr Opinion Pediatr. 2004; 16:560-6
6. Straumann A, Spichtin HP, Grize L, Bucher KA, Beglinger C, Simon HU. Natural history of primary eosinophilic esophagitis: a follow-up of 30 adult patients for up to 11.5 years. Gastroenterology. 2003;125(6):1660-9.
7. Cheung KM, Oliver MR, Cameron DJ, Catto-Smith AG, Chow CW. Esophageal eosinophilia in children with dysphagia. J Pediatr Gastroenterol Nutr 2003;37(4):498-503.
8. Orenstein SR, Shalaby TM, Di Lorenzo C, Putnam PE, Sigurdsson L, Mousa H, Kocoshis SA. The spectrum of pediatric eosinophilic esophagitis beyond infancy: a clinical series of 30 children. Am J Gastroenterol. 2000;95(6):1422-30.
9. Simon D, Marti H, Heer P, Simon HU, Braathen LR, Straumann RB. Eosinophilic esophagitis is frequently associated with IgE-mediated allergic diseases. J Allergy Clin Immunol 200;115(5):1090-2
10. Sperger JM, Beausoleil JL, Mascarenhas M, Liacouras CA. The use of skin prick tests and patch tests to identify the causative foods in eosinophilic esophagitis. J Allergy Clin Immunol 2002; 109:363-8.
11. Kukuruzovic RH, Elliott EE, O'Loughlin EV, Markowitz JE. Non-surgical interventions for eosinophilic oesophagitis. Cochrane Database Syst Rev. 2004;(3):CD004065.
12. Noel RJ, Putnam PE, Collins MH, Assa'ad AH, Guajardo JR, Jameson SC, Rothenberg ME. Clinical and immunopathologic effects of swallowed fluticasone for eosinophilic esophagitis. Clin Gastroenterol Hepatol 2004;2(7):568-75.
13. Friesen CA, Kearns GL, Andre L, Neustrom M, Roberts CC, Abdel-Rahman SM. Clinical efficacy and pharmacokinetics of montelukast in dyspeptic children with duodenal eosinophilia J Pediatr Gastroenterol Nutr. 2004;38(3):343-51. Figura. 2: gli anelli esofagei tipici dell'esofagite eosinofila

Le ipotesi patogenetiche
L'EE è
classificabile tra le enteropatie eosinofile a localizzazione
mucosale.
Dal punto di vista patogenetico, vista la relazione tra
esofagite eosinofila e l'asma, le ipotesi formulate sono le
seguentia :.000
1) entrambe le problematiche potrebbero essere
correlate alla presenza di un RGE, tanto che la patologia
respiratoria potrebbe instaurarsi a causa di ripetuti episodi di
microaspirazione e l'esofagite da un danno diretto sulla mucosa
esofagea
2) la seconda ipotesi afferma che sia i sintomi polmonari
che esofagei sarebbero correlati alla costituzione atopica dei
soggetti che soffrono di multiple allergie respiratorie (asma) e
allergie alimentari (esofagite eosinofila)
Tuttavia non bisogna
dimenticare che in circa il 40% dei casi l'atopia non è
presente nei casi certi di EE (come può succedere anche per
l'enteropatia eosinofila).
Quando pensare alla diagnosi di esofagite eosinofila?
La
diagnosi di EE è da considerare quando sintomi suggestivi diRGE, particolarmente il dolore epigastrico e toracico, il
vomito mucoide, non rispondono alla terapia con antiacidi oppure
se il paziente ha un'età di oltre 8 anni ed il sintomo
guida è la disfagia. Il sospetto è maggiore nei
pazienti maschi, particolarmente in quelli con una storia
personale o familiare di allergia. In questi casi è
importante eseguire la biopsia sia della parte distale che prossimale
dell'esofago (oltre che dell'antro e del duodeno). Una volta fatta la
diagnosi di EE è utile testare il paziente per allergie
specifiche in modo da potere eseguire una dieta di eliminazione
adeguata.
Per quanto riguarda la diagnosi differenziale con il
reflusso gastroesofageo, i possibili elementi di discriminazione tra
una condizione e l'altra sono descritti in Tabella 1.
Tabella 1: Diagnosi differenziale tra reflusso esofageo ed esofagite eosinofila
REFLUSSO
ESOFAGITE EOSINOFILA Eta' Adulti +++ + Bambini ++ +++ Pirosi +++ -/+ Disfagia + +++ Asma + +++ Ipereosinofilia - +++ Reflusso
acido patologico +++ - Manometria
esofagea ++ -/+ Coinvolgimento
dell'esofago distale cervicale/totale Infiltrazione
di eosinofili intra-epiteliale a
tutto spessore n.
eosinofili/HPF <20 ³20 Risposta
antiacidi ++/+++ - Risposta
ai corticosteroidi - +++ Risposta
alla dieta d'eliminaz.
GASTRO ESOFAGEO
REFLUSSO GASTRO ESOFAGEO ESOFAGITE EOSINOFILA Eta' Adulti +++ + Bambini ++ +++ Pirosi +++ -/+ Disfagia + +++ Asma + +++ Ipereosinofilia - +++ Reflusso acido patologico +++ - Manometria esofagea ++ -/+ Coinvolgimento dell'esofago distale cervicale/totale Infiltrazione di eosinofili intra-epiteliale a tutto spessore n. eosinofili/HPF <20 ³20 Risposta antiacidi ++/+++ - Risposta ai corticosteroidi - +++ Risposta alla dieta d'eliminaz. + +++
I cardini
della terapia sono gli steroidi (per via generale o “locale”)
e la dieta di eliminazione nei casi in cui esistono segni/sintomi di
atopia.
Gli steroidi andranno utilizzati preferibilmente per via
locale (spray eseguiti senza coordinazione respiratoria in modo da
favorire l'ingestione), a meno che non ci siano segni di importante
stenosi o segni (istologici) di localizzazione anche a livello
gastrico o duodenale (nei quali l'esofagite eosinofila è una
componente di una enteropatia eosinofila diffusa).
La dieta di
eliminazione andrà eseguita nei casi in cui vi sia una
positività al prick o al Rast per specifici allergeni. Si
discute molto sulla opportunità di eseguire una dieta di
esclusione per gli allergeni alimentari maggiori (latte e uovo) anche
nei casi con test negativi ma che presentano segni di atopia
(familiarità, eosinofilia periferica, elevazione delle IgE).
Ovviamente il trattamento adeguato delle allergie respiratorie,
dove possibile (con misure di profilassi ambientale per l'acaro e/o
specifica terapia profilattica farmacologica), è ragionevole
per il rischio di peggioramento o persistenza della sintomatologia
esofagea.
Uno schema terapeutico può essere il seguente:
Prednisone: 1 mg/kg per 15 gg, con scalo a 0,5 mg/kg/die per 15 giorni e successivo scalo di 5 mg per settimana
Fluticasone 125 spray: 1 puff (ingerito!) 2 volte al giorno per 15 giorni, poi 1 puff die per altri 15 giorni e sospensione (si potrà anche fare uno spray a giorni alterni, non esistono protocolli precisi).
La
risposta alla terapia steroidea è di regola buona.
Il
problema ancora aperto è quello della terapia di mantenimento:
nei casi in cui è stata anche iniziata la dieta di
eliminazione andrà valutata la risposta con ripetizione di
esami endoscopico/istologico. La dieta di eliminazione andrà
considerata anche nei casi in cui non ci sono segni di atopia nei
quali la malattia ha una ricaduta alla sospensione dello
steroide.
Come farmaco del mantenimento esistono delle
segnalazioni promettenti sull'uso dell'antileucotrienico, in
analogia alle enteropatie eosinofila: Montelukast: 10mg una volta al
giorno.
Bibliografia di riferimento
