Dalla clinica all'esame strumentale: un ragazzo con sepsi e dolore alla gamba
1 Clinica Pediatrica, IRCCS Burlo Garofolo, Trieste
2 Unità Operative di Pediatria Ospedale di Gorizia-Monfalcone
3 U.O. di Radiologia, IRCCS Burlo Garofolo, Trieste
4 Dipartimento di Chirurgia Pediatrica, IRCCS Burlo Garofolo, Trieste
Indirizzo per corrispondenza: zemira79@hotmail.com
Ciascuno
di questi esami ha, in effetti, un suo razionale anche se una
accurata valutazione diagnostica può essere effettuata
ricorrendo ad un algoritmo che si avvale di uno score clinico (Wells
score), del dosaggio del d-dimero ed eventualmente dell'esecuzione
di una TAC del torace (7).
Nel nostro caso, però, tutte le
indagini eseguite negano il sospetto clinico di un quadro di embolia
polmonare da trombosi venosa profonda. In particolare, l'emogas
analisi si dimostra nella norma (non evidenza di ipossia con
ipocapnia) e così pure l'ECG che non evidenzia segni di
sovraccarico emodinamico dx. La TAC del torace (eseguita con tecnica
angioTC) esclude difetti di opacizzazione dei rami arteriosi
polmonari ed, infine, l'eco color-doppler non evidenzia segni di
trombosi venosa profonda in atto.
A questo
punto una doverosa riconsiderazione del quadro ci porta ad
approfondire alcune ulteriori ipotesi diagnostiche:
- L'ipotesi
di leucemia è sostenuta dal riscontro di un quadro di
citopenia con interessamento di tutte le linee cellulari e dalla
sintomatologia dolorosa inguinale riferibile al distretto osseo. Di
fatto, però, nei giorni successivi al ricovero si assiste ad
una completa normalizzazione dell'emocromo con evidenza di un
quadro di modesta leucocitosi neutrofilia (GB12580, N 8900, L 2100)
accompagnato da un recupero dell' Hb (11.5 g/dl) e delle piastrine
(225.000 con successiva tendenza alla piastrinosi 398000/mm3). Dato
il forte sospetto diagnostico derivante dall'iniziale quadro di
pancitopenia viene, comunque, eseguito un puntato midollare che nega
la presenza di cellule atipiche (con negatività anche
dell'immunofenotipo).
- Osteomielite in paziente settico:
tale ipotesi troverebbe conferma nelle caratteristiche della febbre
(picchi febbrili elevati preceduti da brivido e risoluzione con
abbondante sudorazione) e nell'importante sintomatologia dolorosa a
carico dell'inguine e della coscia sx. Gli indici di flogosi sono
sempre molto elevati (PCR 26.28 mg %, VES 54, ferritina 651 ng/dl).
Il risultato negativo della scintigrafia l'escluderebbe.
Tuttavia
diversi elementi clinici e di laboratorio erano a favore di una
ipotesi infettiva:
a) l'iniziale pancitopenia con successiva
normalizzazione ed il rialzo del d-dimero (non spiegabile
dall'ipotesi, negata, di una trombosi venosa profonda), si
dimostrano espressione laboratoristica diretta di un quadro di sepsi.
In particolare, la pancitopenia può essere interpretata come
l'epifenomeno di un transitorio blocco midollare da citochine
infiammatorie. Inoltre, le crisi di dispnea con desaturazione
associata ad ipotensione sono interpretabili come manifestazione
clinica di un'iniziale CID in paziente settico soprattutto alla
luce della ripetizione dell'evento in corso di picco febbrile.
b)
all'emocoltura avviata all'ingresso si isola uno Stafilococcus
Aureus meticillino sensibile.
Decidiamo
di mirare la terapia nei confronti del patogeno isolato e visto
l'insuccesso della terapia in atto (ampicillina + sulbactam)
passiamo alla somministrazione di Teicoplanina e Clindamicina sulla
scorta della gravità del quadro clinico, ipotizzando
un'infezione profonda.
La tipologia di patogeno isolato si
dimostra, in effetti, compatibile con l'ipotesi di una
localizzazione ossea secondaria ad una diffusione ematogena (8,9).
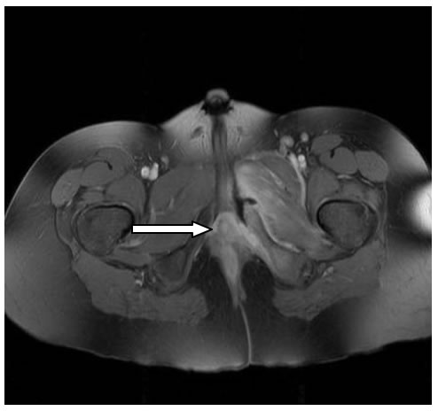
Decidiamo di eseguire la RMN del bacino. (Figura
1)
Tale indagine ci permette di evidenziare una localizzazione
ascessuale a carico dei muscoli otturatore interno ed esterno di sx
consensuale ad un quadro di osteomielite della branca ischio-pubica
di sx. Alla luce di tali evidenze ripetiamo, poi, una radiografia del
bacino (a distanza di circa 2 settimane dall'esordio della
sintomatologia) che effettivamente dimostra il rimaneggiamento
osteo-strutturale della branca ischio-pubica di sx. confermando,
pertanto, il limite “temporale” di tale metodica. (Figura
2)
Ma perché
la scintigrafia aveva dato esito negativo?
Probabilmente questa
perdita di sensibilità dell'esame è da attribuire
alla particolare localizzazione del processo infettivo in quanto la
captazione da parte delle ossa del bacino potrebbe essere, almeno in
parte, mascherata dall'accumulo del MdC in vescica (10).
A
proposito della localizzazione ischio-pubica, quale ritenete essere
la sua frequenza nel contesto di tutti i quadri di osteomielite?
-
< 1%
- 20%
-5-10%
Figura
1. 

RMN: estesa alterazione di segnale coinvolgente la branca
ischio-pubica sx ed i muscoli otturatori omolaterali. La branca
ischiopubica mostra un'architettura spongiosa irregolare con
interruzione corticale sul margine anteriore; i gruppi muscolari
appaiono aumentati di volume e caratterizzati da segnale interno
disomogeneo con componenti liquide settate da riferire a raccolte
ascessuali.
Figura
2.
Rx bacino: rimaneggiamento osteo-strutturale della branca
ischio-pubica di sx. ed in misura minore della branca ileo-pubica
omolaterale.
