Manifestazioni ematologiche nelle malattie mitocondriali con mutazione del mt-DNA
Dipartimento di Scienze Pediatriche dell'Università di Torino, Divisione di Ematologia pediatrica
° Istituto Nazionale “C. Besta” di Milano, Divisione di Genetica molecolare
1Ospedale Infantile Regina Margherita, Anatomia Patologica
Indirizzo per corrispondenza: rkyklos@mail2world.com
Haematological manifestations in mitochondrial diseases with mt-DNA mutation
Keywords:Haematological manifestations, mitochondrial disease, Pearson syndrome
Summary:We report a 10-month-old girl who, at the age of 4 months, was admitted for increasing pallor. Severe normocytic anaemia, neutropenia and thrombocytopenia and typical diffuse vacuolization of marrow haemopoietic precursors were present. She also presented with mild lactic acidosis. Molecular analysis of mt-DNA revealed an 8.000 bp single macrodeletion. Unexpectedly, anaemia was not sideroblastic and there was no exocrine pancreatic dysfunction. Pearson marrow/pancreas syndrome is a usually fatal mitochondrial disease that involves the haematopoietic system, and usually also exocrine pancreas, liver and kidneys. Other mitochondrial cytopathies with mt-DNA mutation can have haematological manifestations, most of all sideroblastic anaemia. Mitochondrial diseases should be considered in the differential diagnosis of anaemia/pancytopenia in infancy.
Il caso di Giulia
Giulia ha 4 mesi, pesa 5.270 g (nata di 38 w. e di 2.380 g), presenta discrete condizioni generali ma la madre riferisce inappetenza e soprattutto pallore ingravescente nel corso delle ultime settimane. Il nostro esame obiettivo conferma lo spiccato pallore, non evidenzia malformazioni, epato-splenomegalia od altri elementi clinicamente rilevanti. Le condizioni generali sono effettivamente discrete. Le urine sono normocromiche e le feci normocoliche.
Decidiamo di sottoporre la piccola ad alcuni esami ematochimici:
L'esame emocromocitometrico rileva una anemia normocromica normocitica grave (con spiccata riduzione del numero di reticolociti rispetto alla norma) nell'ambito di una generale pancitopenia (lieve piastrinopenia, moderata neutropenia).
L'osservazione delle emazie allo striscio e la valutazione dell'assetto marziale rendono improbabile una carenza marziale (non ipocromia o anisopoichilocitosi delle emazie, buona saturazione della transferrina)
Non sono presenti segni di emolisi (bassa reticolocitosi, LDH, aptoglobina e bilirubina frazionata normali) neanche di natura autoimmune (test di Coombs negativo)
Vista l'entità dell'anemia e l'assenza di una causa evidente decidiamo di effettuare subito un agoaspirato midollare
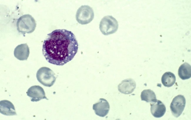
L'analisi morfo-citologica mostra un quadro di cellularità ridotta con progenitori eritroidi molto rari (M/E 4/1) ma megacariociti presenti. Evidente anche una lieve displasia della serie mieloide. Risultano assenti cellule di appetto blastico. Numerosiprecursori midollari presentano significativamente unaspiccata vacuolizzazione. (vedi figura 1)
OMIM: Pearson marrow-pancreas syndrom - De Lonlay P et al.: Manifestations hematologiques dans les erreurs innes du metabolisme. Arch Pediatr. 2002; 8: 822-35
- Thorburn DR et al.: Mitochondrial Disorders: Genetics, Counseling, Prenatal Dagnosis and Reproductive Options. Am J Med Gen. 2001; 106: 102-14
- http://www.peds.swmed.edu/hemonc/MediaBank/ Resources/Pearson_Syndrome.ppt Figura 1: Precursore mieloide con i tipici vacuoli della Sindrome di Pearson.

Sempre su midollo valutiamo anche il cariotipo che risulta normale (46,XX), l'immunofenotipo non significativo ed escludiamo la presenza di virus con possibile effetto aplastizzante (PCR su midollo per parvovirus B19, HHV-6, \CMV ed EBV negative)
Effettuiamo ulteriori esami ematici e ricerchiamo dei segni di malassorbimento:
L'analisi del ciclo cellulare non evidenzia le alterazioni caratteristiche dell'anemia di Fanconi.
Non sono evidenziabili grassi fecali ed il pancreas esocrino non mostra segni di ipofunzionalità
Sulla base del quadro midollare andiamo a ricercare altri possibili segni di malattia mitocondriale e li troviamo:
All'E.G.A. è presente una lieve acidosi metabolica
Il livello di lattato è lievemente aumentato
Sono presenti delle alterazioni complesse dei livelli di acidi organici urinari
Inviamo un campione di sangue all'Istituto “C. Besta” di Milano dove viene riscontrata la presenza di una macrodelezione (8.000 bp) del DNA mitocondriale (mt-DNA).
Il quadro risulta quindi compatibile con una Sindrome di Pearson atipica
Sono presenti alcuni degli elementi tipici della sindrome:
La macrodelezione a carico del mt-DNA
La vacuolizzazione dei precursori emopoietici
L'anemia grave
Altri dati sono compatibili con essa (la lieve acidosi e la modesta iperlattacidemia, le alterazioni complesse degli acidi organici urinari, la pancitopenia, le transaminasi mosse)
Tuttavia alcuni elementi risultano atipici:
A livello midollare paiono assenti i sideroblasti (anemia non sideroblastica)
La funzionalità pancreatica risulta conservata
Le condizioni generali sono soddisfacenti, le acquisizioni psico-motorie normali per l'età, la funzionalità renale normale.
Mitocondri, mt-DNA, mitocondriopatie, manifestazioni ematologiche
MITOCONDRI
Origine: Probabilmente procarioti primitivi inglobati dalla cellula eucariotica primitiva 1.5 bilioni di anni fa. Questo evento ha portato ad una relazione simbiotica favorevole sempre più profonda tanto che oggi i mitocondri hanno perso la maggior parte del proprio genoma. Essi sono divenuti dipendenti dalle proteine codificate nel nucleo e si sono “specializzati” nella produzione di energia (catena ossidativa). (Teoria endo-simbiontica di Lynn Margulis,1981)
Caratteristiche: Presenti in tutte le cellule in molti esemplari (fino ad alcune migliaia), contengono in 2-10 copie un proprio materiale genetico (mt-DNA) delle dimensioni di circa 16.500 bp codificante per 13 subunità della catena respiratoria (su circa 82 totali), 2 RNA ribosomiali e 22 RNA di trasferimento (non sono presenti introni). Meccanismi di riparazione del DNA deficitari con conseguente elevato tasso di mutazione. Funzione principale: produzione di energia (ciclo di Krebs, fosforilazione ossidativa, ossidazione degli acidi grassi). Altre funzioni note: sintesi dell'eme, eliminazione dell'ammonio, mediazione dell'apoptosi. Sono praticamente sempre di origine materna.
MITOCONDRIOPATIE
Le malattie mitocondriali (“citopatie mitocondriali”) possono essere ereditarie od acquisite, associate ad un difetto del DNA mitocondriale oppure nucleare. Il difetto può essere primitivamente a carico dei geni codificanti le subunità della catena respiratoria o questa può essere coinvolta solo secondariamente. Infine le mutazioni a carico del DNA mitocondriale (mt-DNA) possono essere di vario tipo.
CLASSIFICAZIONE DELLE CITOPATIE MITOCONDRIALI
Associate a difetto dei geni codificanti per le subunità della catena respiratoria
da mutazione mt-DNA
da mutazione n-DNA
Associate a difetto secondario della catena respiratoria
da mutazione n-DNA
da danno acquisito del metabolismo mitocondriale
MUTAZIONI POSSIBILI A CARICO DEL mt-DNA
riarrangiamenti
micro/macro delezioni
duplicazioni
mutazioni a carico del t-RNA
mutazioni puntiformi
mutazioni a carico del r-RNA
Caratteristiche peculiari delle patologie con difetto del mt-DNA sono la cosiddetta “eteroplasmia” ed il conseguente “effetto soglia”. All'interno delle diverse cellule, tessuti ed organi degli individui affetti è presente un mix di molecole normali e mutanti di mt-DNA che è alla base della estrema variabilità individuale del fenotipo.
LaSindrome di Pearson ma anche la Sindrome di Kearns-Sayre e la Oftalmoplegia Esterna Progressiva sono associate a macrodelezioni del mt-DNA e sono normalmente sporadiche. Anche la Sindrome di Wolfram può essere associata a difetto del mt-DNA.
LA SINDROME DI PEARSON (Pearson Marrow-Pancreas Syndrome)
E' una citopatia mitocondriale associata a macrodelezione del mt-DNA ad espressione prevalentemente ematologica ma con distribuzione ubiquitaria del mt-DNA mutante. Tipica della sindrome è anche una compromissione più o meno rilevante della funzionalità del pancreas esocrino. Costante l'anemia normo-macrocitica grave (generalmente sideroblastica), frequenti la neutropenia e la piastrinopenia. I progenitori midollari sono intensamente vacuolizzati.
Clinical Synopsis (da OMIM-Online Mendelian Inheritance in Man-John Hopkin's University)
Heme : Refractory sideroblastic anemia. Vacuolization of marrow precursors.
GI : Exocrine pancreatic dysfunction. Malabsorption. Pancreatic fibrosis. Splenic atrophy.
Growth : Low birth weight. Failure to thrive.
Metabolic : Insulin-dependent diabetes mellitus. Metabolic acidosis. Lactic acidosis.
Misc : Frequently death in infancy.
Lab : 3-methylglutaconicaciduria. Complex organic aciduria.Mitochondrial deletions. Renal Fanconi syndrome. Increased ketone body or lactate/pyruvate plasma ratios.
Inheritance : Mitochondrial.
fonte:www.ncbi.nlm.nih.gov/entrez/query.fcgi?db=OMIM
Storia Naturale
La Sindrome di Pearson esordisce nel 70% dei casi entro i sei mesi di vita, è frequentemente fatale ed il decesso avviene più comunemente nei primi anni di vita o comunque in età pediatrica. Le più frequenti cause di morte sono di tipo infettivo (sepsi batterica secondaria a neutropenia ed atrofia splenica) o legate all'acidosi (crisi metabolica) o all'insufficienza epatica. Nei pochi pazienti che sopravvivono più a lungo si osserva in genere un miglioramento spontaneo del quadro ematologico e in alcuni casi si assiste ad uno “shift” del fenotipo che da prevalentemente ematologico diventa miopatico od encefalopatico. Una parte degli affetti sviluppa la Sindrome di Kearns-Sayre. La terapia è generalmente di supporto (emotrasfusioni, complessi multivitaminici). Segnalati casi sottoposti con successo ad allo-TMO.
Ladiagnosi differenziale si pone principalmente con:
altre cause di citopenia congenita (an. di Diamond-Blackfan, an. di Fanconi, s. Shwachmann)
altre cause di anemia sideroblastica (anemia tiamino-sensibile)
altre cause di vacuolizzazione progenitori emopoietici (deficit di fenilalanina, riboflavina o rame, intossicazione da CAF o alcool)
altre cause di mitocondriopatia
altre mitocondriopatie associate a macrodelezione mt-DNA (Sindrome di Kearns-Sayre, Oftalmoplegia esterna progressiva)
ALTRE MITOCONDRIOPATIE AD ESPRESSIONE ANCHE EMATOLOGICA
Sindrome di Kearns-Sayre (S. K-S)
Altra mitocondriopatia normalmente associata a macrodelezioni (spesso identiche a quelle del Pearson e della Oftalmoplegia Esterna Progressiva*) caratterizzata principalmente da una oftalmoplegia esterna lentamente progressiva, una retinopatia con deposito di pigmento e disturbi a carico della conduzione cardiaca (Kearns and Sayre, 1958). Ci sono casi non associati a mutazione Del mt-DNA. Spesso è presente una anemia sideroblastica.
Oftalmoplegia Esterna Progressiva (OEP con delezioni del mt-Dna)
Caratterizzata principalmente dall'oftalmoplegia (con coinvolgimento dell'elevatore della palpebra, dell'orbicolare e dei muscoli estrinseci dell'occhio) con perdita progressiva della motilità oculare. Anch'essa si può associare ad anemia sideroblastica.
Sindrome di Wolfram (Wolfram e Wagener, 1938)
Caratterizzata da diabete insipido, diabete mellito, atrofia ottica e sordità (DIDMOAD). Elementi fondamentali sono il diabete mellito e l'atrofia ottica. Spesso presenti altri sintomi neurologici, psichiatrici ed endocrinologici. Alcuni casi sono autosomici, altri associati a mutazioni del mt-DNA. Possono essere presenti: anemia megaloblastica e/o sideroblastica, neutropenia epiastrinopenia.
DUBBI ED IPOTESI
Pearson, K-S e OEP: diverse facce della stessa medaglia?
Identiche delezioni sono state segnalate nella S. di Pearson, nella S. di K-S, e nella OEP. Nelle tre sindromi la distribuzione tissutale del mt-DNA mutante è differente. In quella di Pearson ci sono elevati livelli di mt-DNA mutante in tutti i tessuti ed in particolare nel midollo. Nella Kearn-Sayres esso è presente ad alti livelli soprattutto nei muscoli e nel sistema nervoso centrale. Nella Oftalmoplegia la distribuzione del mt-DNA mutante è probabilmente ancora più limitata.
Quale il vero ruolo eziopatogenetico del difetto del mt-DNA?
Vari elementi hanno indotto i ricercatori a chiedersi se le mutazioni del DNA mitocondriale siano davvero alla base delle rispettive malattie. Per alcune citopatie mitocondriali associate a difetti del mt-DNA (spt. OEP e S.W.) più o meno recentemente è stata ipotizzato che questi siano in realtà secondari ad un primitivo difetto del n-DNA che fungerebbe da fattore predisponente allo sviluppo di mutazioni a carico del genoma mitocondriale.
Una mitocondriopatia nella patogenesi di tutte le anemie sideroblastiche?
Una mitocondriopatia (congenita o, più spesso, post-natale) con conseguente alterazione della produzione di energia cellulare (e quindi con difettoso metabolismo del ferro) potrebbe essere alla base di un'anomala deposizione di ferro a livello degli eritroblasti (anemia sideroblastica).
DA RICORDARE:
-Un'anemia normo-macrocitica (o anche una pancitopenia) nel lattante può rappresentare l'esordio di una Sindrome di Pearson che quindi va considerata nella diagnosi differenziale
-In generale il quadro clinico di alcune malattie mitocondriali può comprendere delle manifestazioni ematologiche (anemia, neutropenia, piastrinopenia, vacuolizzazione dei progenitori)
Bibliografia minima
